Human Cell line

    Human MOLT-4 Whole Cell Lysate

    🧪 MOLT-4-021HCL

    Source: 

    Species:  Human

    Tag: 

    Conjugation: 

    Protein Length: 

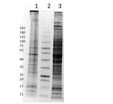
    SDS PAGE Results of MOLT-4 Whole Cell Lysate.<br />Lane 1: MOLT-4 Whole Cell Lysate Reduced [10 μg].<br />Lane 2: Opal Prestained Molecular Weight Marker.<br />Lane 3: MOLT-4 Whole Cell Lysate Non-Reduced [10 μg].<br />4 20% Gel, Coomassie Stained.
    Human MOLT-4 Cell Nuclear Extract

    🧪 MOLT-4-022HCL

    Source: 

    Species:  Human

    Tag: 

    Conjugation: 

    Protein Length: 

    Human Ramos Whole Cell Lysate

    🧪 Ramos-023HCL

    Source: 

    Species:  Human

    Tag: 

    Conjugation: 

    Protein Length: 

    SDS-PAGE of Ramos Whole Cell Lysate.<br />Lane 1: Ramos Whole Cell Lysate Reduced (10 μg).<br />Lane 2: Opal Prestained Molecular Weight Marker.<br />Lane 3: Ramos Whole Cell Lysate Non-Reduced (10 μg).<br />Results show broad range of molecular weight bands with no sign of degradation
    Human Doxorubicin Stimulated HeLa Whole Cell Lysate

    🧪 HeLa-024HCL

    Source: 

    Species:  Human

    Tag: 

    Conjugation: 

    Protein Length: 

    SDS-PAGE results of Doxorubicin Stimulated HeLa Whole Cell Lysate.<br />Lane 1: HeLa Whole Cell Lysate [10 μg] Reduced.<br />Lane 2: HeLa Whole Cell Lysate-Doxorubicin Stimulated [10 μg] Reduced.<br />Lane 3: Opal Prestained Molecular Weight Marker.<br />Lane 4: HeLa Whole Cell Lysate [10 μg] Non-Reduced.<br />Lane 5: HeLa Whole Cell Lysate-Doxorubicin Stimulated [10 μg] Non-Reduced.<br />4-20% Gel, Coomassie Stained.
    Human Etoposide Stimulated HeLa Whole Cell Lysate

    🧪 HeLa-025HCL

    Source: 

    Species:  Human

    Tag: 

    Conjugation: 

    Protein Length: 

    Coomassie stained SDS-PAGE of 35 μg of Etoposide Stimulated HeLa Whole Cell Lysate (Ready-to-Use) resolved on a 4-20% gradient gel under reducing conditions.
    Human Nocodazole Stimulated HeLa Whole Cell Lysate

    🧪 HeLa-026HCL

    Source: 

    Species:  Human

    Tag: 

    Conjugation: 

    Protein Length: 

    Coomassie stained SDS-PAGE of 35 μg of nocodazole stimulated HeLa Whole Cell Lysate (Ready-to-Use) resolved on a 4-20% gradient gel under reducing conditions.
    Human MCF-7 Cell Nuclear Extract

    🧪 MCF-7-027HCL

    Source: 

    Species:  Human

    Tag: 

    Conjugation: 

    Protein Length: 

    Human A-172 Cell Nuclear Extract

    🧪 A-172-028HCL

    Source: 

    Species:  Human

    Tag: 

    Conjugation: 

    Protein Length: 

    Human A-172 Whole Cell Lysate

    🧪 A-172-029HCL

    Source: 

    Species:  Human

    Tag: 

    Conjugation: 

    Protein Length: 

    SDS-PAGE Results of A-172 Whole Cell Lysate.<br />Lane 1: A-172 Whole Cell Lysate Non-Reduced [10 μg].<br />Lane 2: Opal Prestained Molecular Weight Marker.<br />Lane 3: A-172 Whole Cell Lysate Reduced [10 μg].<br />4-20% gel, coomassie stained.
    Human A431 Cell Nuclear Extract

    🧪 A431-030HCL

    Source: 

    Species:  Human

    Tag: 

    Conjugation: 

    Protein Length: 

    Human HCT-116 Cell Nuclear Extract

    🧪 HCT-116-031HCL

    Source: 

    Species:  Human

    Tag: 

    Conjugation: 

    Protein Length: 

    Human HCT-116 Whole Cell Lysate

    🧪 HCT-116-032HCL

    Source: 

    Species:  Human

    Tag: 

    Conjugation: 

    Protein Length: 

    SDS PAGE Results of HCT-116 Whole Cell Lysate.<br />Lane 1: HCT-116 Whole Cell Lysate, Non-reduced [10 μg].<br />Lane 2: Opal Prestained Molecular Weight Marker.<br />Lane 3: HCT-116 Whole Cell Lysate, Reduced [10 μg].<br />4-20% Gel, Coomassie stained.
    Human MG-132 Treated HEK293 Whole Cell Lysate

    🧪 HEK293-033HCL

    Source: 

    Species:  Human

    Tag: 

    Conjugation: 

    Protein Length: 

    SDS-PAGE of HEK293 Whole Cell Lysate MG-132 Stimulated.<br />Lane 1: HEK293 unstimulated reduced.<br />Lane 2: HEK293 MG-132 stimulated reduced.<br />Lane 3: Molecular Weight Marker.<br />Lane 4: HEK293 unstimulated non-reduced.<br />Lane 5: HEK293 MG-132 stimulated non-reduced.<br />Load 10 ng.
    Human HeLa Cell Nuclear Extract

    🧪 HeLa-034HCL

    Source: 

    Species:  Human

    Tag: 

    Conjugation: 

    Protein Length: 

    Coomassie stained SDS-PAGE of 25 μg of Human Derived Hela Cell Nuclear Extract (Ready-to-Use) separated in a 4-20% gradient gel under non-reducing conditions. Molecular weight standards are shown on the left.
    Human Doxorubicin Stimulated HeLa Cell Nuclear Extract

    🧪 HeLa-035HCL

    Source: 

    Species:  Human

    Tag: 

    Conjugation: 

    Protein Length: 

    Coomassie stained SDS-PAGE of 25 μg of Doxorubicin stimulated Human Derived Hela Cell Nuclear Extract (Ready-to-Use) separated in a 4-20% gradient gel under non-reducing conditions. Molecular weight standards are shown on the left.
    0
    cart-icon
    0
    compare icon