Human Cell line

    Human MCF-7 Whole Cell Lysate

    🧪 MCF-7-006HCL

    Source: 

    Species:  Human

    Tag: 

    Conjugation: 

    Protein Length: 

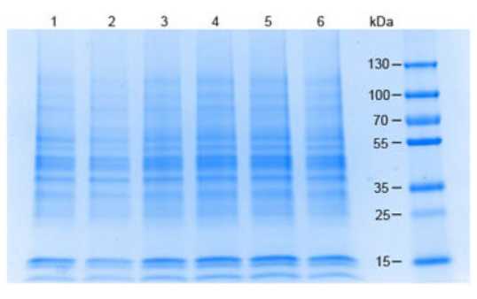
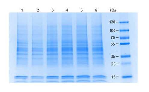
    Coomassie stained SDS-PAGE of 20 μg of (1) Hela WCL, (2) Jurkat WCL, (3) HEK 293 WCL, (4) MCF-7 WCL, (5) A 549 WCL, (6) Raji WCL separated using a 4-20% gradient gel under reducing conditions. Molecular weight standards are shown.
    Human A431 Whole Cell Lysate

    🧪 A431-007HCL

    Source: 

    Species:  Human

    Tag: 

    Conjugation: 

    Protein Length: 

    Coomassie stained SDS-PAGE of 40 μg of Human Derived A431 Whole Cell Lysate separated in a 4-20% gradient gel under non-reducing conditions.
    Human HEK293 Whole Cell Lysate

    🧪 HEK293-008HCL

    Source: 

    Species:  Human

    Tag: 

    Conjugation: 

    Protein Length: 

    SDS-Page of HEK239 Whole Cell Lysate.<br />Lane 1: Reduced HEK239 Whole Cell Lysate [10 μg].<br />Lane 2: Opal Prestained Molecular Weight Marker.<br />Lane 3: Non reduced HEK239 Whole Cell Lysate [10 μg].<br />4-20% SDS-PAGE gel, Coomassie Stained.
    Human Raji Whole Cell Lysate

    🧪 Raji-009HCL

    Source: 

    Species:  Human

    Tag: 

    Conjugation: 

    Protein Length: 

    SDS PAGE Results of Raji Whole Cell Lysate.<br />Lane 1: Raji Whole Cell Lysate Reduced [10 μg].<br />Lane 2: Opal Prestained Molecular Weight Marker.<br />Lane 3: Raji Whole Cell Lysate Non-Reduced [10 μg].<br />4-20% Gel, Coomassie Stained.
    Human Jurkat Whole Cell Lysate

    🧪 Jurkat-010HCL

    Source: 

    Species:  Human

    Tag: 

    Conjugation: 

    Protein Length: 

    Coomassie stained SDS-PAGE of 20 μg of (1) Hela WCL, (2) Jurkat WCL, (3) HEK 293 WCL, (4) MCF-7 WCL, (5) A 549 WCL, (6) Raji WCL separated using a 4-20% gradient gel under reducing conditions. Molecular weight standards are shown.
    Human A549 Whole Cell Lysate

    🧪 A549-011HCL

    Source: 

    Species:  Human

    Tag: 

    Conjugation: 

    Protein Length: 

    Coomassie stained SDS-PAGE of 30 μg of Human Derived A549 Whole Cell Lysate (Ready-to-Use) resolved in a 4-20% gradient gel under non-reducing conditions (lane 2). Molecular weight standards are shown in lane 1.
    Human U-2OS Whole Cell Lysate

    🧪 U-2OS-012HCL

    Source: 

    Species:  Human

    Tag: 

    Conjugation: 

    Protein Length: 

    Coomassie stained SDS-PAGE of 35 μL of U-2OS Whole Cell Lysate (Ready-to-Use) separated in a 4-20% gradient gel under reducing conditions (lane 2). Molecular weight standards are shown in lane 1.
    Human Foreskin Fibroblast Whole Cell Lysate

    🧪 Foreskin Fibroblast-013HCL

    Source: 

    Species:  Human

    Tag: 

    Conjugation: 

    Protein Length: 

    Coomassie stained SDS-PAGE of 30 μg of Human Foreskin Fibroblast Whole Cell Lysate separated using a 4-20% gradient gel under reducing conditions (lane 2). Molecular weight standards are shown in lane 1.
    Human Insulin Stimulated HEK293 Whole Cell Lysate

    🧪 HEK293-014HCL

    Source: 

    Species:  Human

    Tag: 

    Conjugation: 

    Protein Length: 

    Coomassie stained SDS-PAGE of 30 μg of Insulin Stimulated HEK293 Whole Cell Lysate resolved using a 4-20% gradient gel under reducing conditions (lane 2).
    Human PC-3 Whole Cell Lysate

    🧪 PC-3-015HCL

    Source: 

    Species:  Human

    Tag: 

    Conjugation: 

    Protein Length: 

    SDS-PAGE of PC-3 Whole Cell Lysate.<br />Lane 1: PC-3 Whole Cell Lysate (10 μg) Reduced.<br />Lane 2: Opal Prestained Molecular Weight Marker.<br />Lane 3: PC-3 Whole Cell Lysate (10 μg) Non-Reduced.<br />Results show wide range of molecular weight bands with no signs of degradation.
    Human U-87 MG Whole Cell Lysate

    🧪 U-87-016HCL

    Source: 

    Species:  Human

    Tag: 

    Conjugation: 

    Protein Length: 

    SDS-PAGE Results of U-87 MG Whole Cell Lysate.<br />Lane 1: U 87 MG Whole Cell Lysate (10 μg) Reduced.<br />Lane 2: Opal Prestained Molecular Weight.<br />Lane 3: U 87 MG Whole Cell Lysate (10 μg) Non-Reduced.<br />Results show wide range of molecular weight bands with no signs of degradation.
    Human U-251 Whole Cell Lysate

    🧪 U-251-017HCL

    Source: 

    Species:  Human

    Tag: 

    Conjugation: 

    Protein Length: 

    SDS-PAGE Results of U-251 Whole Cell Lysate.<br />Lane 1: U-251 Whole Cell Lysate (10 μg) Reduced.<br />Lane 2: Molecular Weight Marker.<br />Lane 3: U 251 Whole Cell Lysate (10 μg) Non-Reduced.<br />Results show wide range of molecular weight bands with no sign of degradation.
    Human Daudi Whole Cell Lysate

    🧪 Daudi-018HCL

    Source: 

    Species:  Human

    Tag: 

    Conjugation: 

    Protein Length: 

    SDS-PAGE results of Daudi Whole Cell Lysate.<br />Lane 1: Daudi Whole Cell Lysate (10 μg) Reduced.<br />Lane 2: Opal Prestained Molecular Weight Markers.<br />Lane 3: Daudi Whole Cell Lysate (10 μg) Non-Reduced.<br />Results show wide range of molecular weight bands with no signs of degradation.
    Human MAPK1 (ERK2) Knockout A549 Cell Lysate, Clone 15

    🧪 A549-019HCL

    Source: 

    Species:  Human

    Tag: 

    Conjugation: 

    Protein Length: 

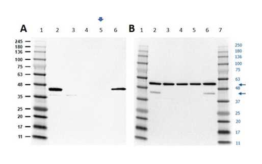
    Western Blot of Human MAPK1 (ERK2) Knockout A549 Cell Lysate.<br />Lane 1: Opal Prestained MW Marker.<br />Lane 2: A549 WCL Parental.<br />Lane 3: A549 MAPK1 KO Clone 4.<br />Lane 4: A549 MAPK1 KO Clone 10.<br />Lane 5: A549 MAPK1 KO Clone 15.<br />Lane 6: HeLa WCL Parental<br />Load: 10 μg lysate/lane. <br />Primary Antibody [Blot A] Anti-MAPK1(ERK2) ~44 kDa; [Blot B] stripped and re-probed with Anti Tubulin ~50 kDa; at 1 μg/mL overnight at 2-8 centigrade.<br />Secondary Antibody: Goat Anti-Rabbit IgG HRP at 1:30,000 for 1hr at RT.<br />Block: BlockOut Buffer for 1 hr at RT.<br />No detection of expected band at ~44 kDa is observed in MAPK1 (ERK2) knockout A549 when compared with unmodified A549 cell lysates by Western blot.
    Human K-562 Whole Cell Lysate

    🧪 K-562-020HCL

    Source: 

    Species:  Human

    Tag: 

    Conjugation: 

    Protein Length: 

    0
    cart-icon
    0
    compare icon