Recombinant Human CTSE, His-tagged

Cat.No. : CTSE-255H
Product Overview : Recombinant Human Cathepsin E is produced with our mammalian expression system in human cells. The target protein is expressed with sequence (Ser20-Pro396) of Human CTSE fused with a polyhistidine tag at the C-terminus.
Availability November 19, 2025
Unit
Price
Qty
  • Specification
  • Gene Information
  • Related Products
  • Download
Species : Human
Source : HEK293
Tag : His
Protein Length : 20-396 a.a.
Description : Cathepsin E (CTSE) is a gastric aspartyl protease that functions as a disulfide-linked homodimer. It is a member of the Peptidase C1 family, and has a specificity similar to that of Pepsin A and Cathepsin D. CTSE is localized to the endoplasmic reticulum and Golgi apparatus, while the mature enzyme is localized to the endosome. It is expressed abundantly in the stomach, the Clara cells of the lung and activated B-lymphocytes, and at lower levels in lymph nodes, skin and spleen. CTSE is an intracellular proteinase that have a role in immune function, activation-induced lymphocyte depletion in the thymus, neuronal degeneration and glial cell activation in the brain. Futhermore, it probably involved in the processing of antigenic peptides during MHC class II-mediated antigen presentation.
Form : Lyophilized from a 0.2 μM filtered solution of 20mM MES, 150mM NaCl, pH 5.5.
AA Sequence : SLHRVPLRRHPSLKKKLRARSQLSEFWKSHNLDMIQFTESCSMDQSAKEPLINYLDMEYFGTISIGSPPQNFTVI FDTGSSNLWVPSVYCTSPACKTHSRFQPSQSSTYSQPGQSFSIQYGTGSLSGIIGADQVSVEGLTVVGQQFGESV TEPGQTFVDAEFDGILGLGYPSLAVGGVTPVFDNMMAQNLVDLPMFSVYMSSNPEGGAGSELIFGGYDHSHFSGS LNWVPVTKQAYWQIALDNIQVGGTVMFCSEGCQAIVDTGTSLITGPSDKIKQLQNAIGAAPVDGEYAVECANLNV MPDVTFTINGVPYTLSPTAYTLLDFVDGMQFCSSGFQGLDIHPPAGPLWILGDVFIRQFYSVFDRGNNRVGLAPA VPVDHHHHHH
Endotoxin : Less than 0.1 ng/μg (1 IEU/μg).
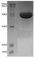
Purity : Greater than 95% as determined by SEC-HPLC and reducing SDS-PAGE.
Storage : Lyophilized protein should be stored at < -20°C, though stable at room temperature for 3 weeks. Reconstituted protein solution can be stored at 4-7°C for 2-7 days. Aliquots of reconstituted samples are stable at < -20°C for 3 months.
Reconstitution : Always centrifuge tubes before opening. Do not mix by vortex or pipetting. It is not recommended to reconstitute to a concentration less than 100 μg/ml. Dissolve the lyophilized protein in 1X PBS. Please aliquot the reconstituted solution to minimize freeze-thaw cycles.
Publications :
Chemoproteomic profiling reveals that cathepsin D off-target activity drives ocular toxicity of β-secretase inhibitors (2016)
Gene Name CTSE cathepsin E [ Homo sapiens ]
Official Symbol CTSE
Synonyms CTSE; cathepsin E; slow-moving proteinase; erythrocyte membrane aspartic proteinase; CATE;
Gene ID 1510
mRNA Refseq NM_001910
Protein Refseq NP_001901
MIM 116890
UniProt ID P14091
Chromosome Location 1q32.1
Pathway Lysosome, organism-specific biosystem; Lysosome, conserved biosystem;
Function aspartic-type endopeptidase activity; peptidase activity;

Not For Human Consumption!

Inquiry

  • Reviews (0)
  • Q&As (0)

Customer Reviews

Write a review

Ask a Question for All CTSE Products

Required fields are marked with *

My Review for All CTSE Products

Required fields are marked with *

0
cart-icon
0
compare icon