Recombinant 2019-nCoV Spike Protein S1 (∆Y145, ∆H146, E484K, D614G), His-tagged
| Cat.No. : | S-213C |
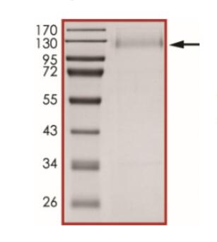
| Product Overview : | Recombinant 2019-nCoV Spike protein S1 (∆Y145, ∆H146, E484K, D614G) (16-685) was expressed in CHO cells using a C-terminal His- tag. |
- Specification
- Gene Information
- Related Products
- Download
| Species : | Sars-Cov-2 |
| Source : | CHO |
| Tag : | His |
| Protein Length : | 16-685 |
| Description : | The spike (S) glycoprotein of coronaviruses is known to be essential in the binding of the virus to the host cell at the advent of the infection process. Most notable is severe acute respiratory syndrome (SARS). The severe acute respiratory syndrome-coronavirus (SARS-CoV) spike (S) glycoprotein alone can mediate the membrane fusion required for virus entry and cell fusion. It is also a major immunogen and a target for entry inhibitors. The SARS-CoV-2 spike (S) protein is composed of two subunits; the S1 subunit contains a receptor-binding domain that engages with the host cell receptor angiotensin-converting enzyme 2 and the S2 subunit mediates fusion between the viral and host cell membranes. The S RBD protein plays key parts in the induction of neutralizing-antibody and T-cell responses, as well as protective immunity, during infection with SARS-CoV-2 (2019-nCoV) as in recent COVID-19 outbreak. |
| Molecular Mass : | 130 kDa |
| Purity : | >90% |
| Stability : | One year at -70 centigrade from date of shipment. |
| Storage : | Store product at –70 centigrade. For optimal storage, aliquot targets into smaller quantities after centrifugation and store at recommended temperature. For most favorable performance, avoid repeated handling and multiple freeze/thaw cycles. |
| Concentration : | 0.1 μg/μL |
| Storage Buffer : | Recombinant protein stored in 50mM sodium phosphate, pH 7.5, 300mM NaCl, 150mM imidazole. |
| Shipping : | Dry ice |
| Gene Name | S surface glycoprotein [ Severe acute respiratory syndrome coronavirus 2 ] |
| Official Symbol | S |
| Synonyms | S; surface glycoprotein; spike glycoprotein; surface glycoprotein; structural protein; spike protein |
| Gene ID | 43740568 |
| mRNA Refseq | MN908947 |
| Protein Refseq | YP_009724390 |
Not For Human Consumption!
Inquiry
- Reviews (0)
- Q&As (0)
Ask a Question for All S Products
Required fields are marked with *
My Review for All S Products
Required fields are marked with *
