Recombinant Active Human ABL1 (Y245F Y412F) Protein (27-end), N-His-tagged
| Cat.No. : | ABL1-16H |
| Product Overview : | Recombinant human ABL1 (Y245F Y412F) (27-end) was expressed by baculovirus in Sf9 insect cells using an N-terminal His tag. |
- Specification
- Gene Information
- Related Products
- Download
| Species : | Human |
| Source : | Sf9 Cells |
| Tag : | His |
| Protein Length : | 27-end |
| Description : | ABL1protooncogene encodes a cytoplasmic and nuclear protein tyrosine kinase that has been implicated in processes of cell differentiation, cell division, cell adhesion, and stress response. Activity of ABL protein is negatively regulated by its SH3 domain and deletion of the SH3 domain turns ABL1 into an oncogene. Translocation and head-to-tail fusion of the BCR and ABL1 genes is present in many cases of chronic myelogeneous leukemia. The DNA-binding activity of the ubiquitously expressed ABL1 tyrosine kinase is regulated by CDK1-mediated phosphorylation, suggesting a cell cycle function for ABL1. |
| Bio-activity : | The specific activity of ABL1 (Y245F Y412F) was determined to be 66 nmol/min/mg as per actity assay protocol. |
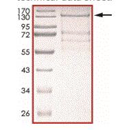
| Molecular Mass : | Observed MW: ~135 kDa. Calculated MW: ~127.8 kDa. |
| Purity : | The purity of ABLI (Y245F Y412F) was determined to be ~ 75 % by densitometry. |
| Stability : | One year at -70 centigrade from date of shipment. |
| Storage : | Store product at -70 centigrade. For optimal storage, aliquot target into smaller quantities after centrifugation and store at recommended temperature. For most favorable performance, avoid repeated handling and multiple freeze/thaw cycles. |
| Concentration : | 0.1 μg/μL |
| Storage Buffer : | Recombinant protein stored in 50mM sodium phosphate, pH 7.0, 300mM NaCl, 150mM imidazole, 0.25mM DTT, 25% glycerol. |
| Shipping : | Dry ice |
| Gene Name | ABL1 c-abl oncogene 1, non-receptor tyrosine kinase [ Homo sapiens (human) ] |
| Official Symbol | ABL1 |
| Synonyms | ABL1; c-abl oncogene 1, non-receptor tyrosine kinase; ABL, c abl oncogene 1, receptor tyrosine kinase, v abl Abelson murine leukemia viral oncogene homolog 1; tyrosine-protein kinase ABL1; c ABL; JTK7; p150; proto-oncogene c-Abl; bcr/c-abl oncogene protein; Abelson tyrosine-protein kinase 1; c-abl oncogene 1, receptor tyrosine kinase; proto-oncogene tyrosine-protein kinase ABL1; v-abl Abelson murine leukemia viral oncogene homolog 1; ABL; c-ABL; v-abl; bcr/abl; |
| Gene ID | 25 |
| mRNA Refseq | NM_005157 |
| Protein Refseq | NP_005148 |
| MIM | 189980 |
| UniProt ID | P00519 |
| ◆ Recombinant Proteins | ||
| ABL1-2499H | Recombinant Human ABL1 protein(531-650 aa), C-His-tagged | +Inquiry |
| ABL1-6348HF | Active Recombinant Full Length Human ABL1 Protein, DDK-tagged, Biotinylated | +Inquiry |
| ABL1-783H | Active Recombinant Human ABL1 protein(Pro137-Ser554), GST-tagged | +Inquiry |
| ABL1-1141M | Recombinant Mouse ABL1 Protein | +Inquiry |
| ABL1-9466HF | Active Recombinant Full Length Human ABL1 Protein, His-tagged | +Inquiry |
| ◆ Native Proteins | ||
| ABL1-618H | Native Human C-abl Oncogene 1, Receptor Tyrosine Kinase | +Inquiry |
| ◆ Cell & Tissue Lysates | ||
| ABL1-676HCL | Recombinant Human ABL1 cell lysate | +Inquiry |
Not For Human Consumption!
Inquiry
- Reviews (0)
- Q&As (0)
Ask a Question for All ABL1 Products
Required fields are marked with *
My Review for All ABL1 Products
Required fields are marked with *
