Recombinant HPV16 L1 Protein, His tagged
| Cat.No. : | HPV16-L1-10H |
| Product Overview : | Recombinant HPV16 L1 Protein with His tag was expressed in Baculovirus-Insect Cells. |
| Availability | November 21, 2025 |
| Unit | |
| Price | |
| Qty |
- Specification
- Gene Information
- Related Products
- Download
| Species : | HPV16 |
| Source : | Insect Cells |
| Tag : | His |
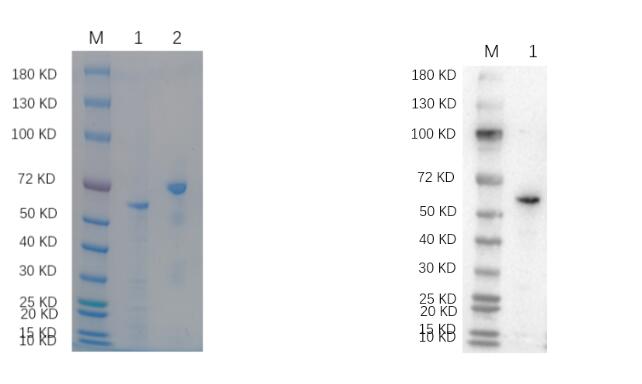
| Molecular Mass : | The protein has a calculated MW of 57 kDa. |
| AA Sequence : | MHHHHHHSLWLPSEATVYLPPVPVSKVVSTDEYVARTNIYYHAGTSRLLAVGHPYFPIKKPNNNKILVPKVSGLQYRVFRIHLPDPNKFGFPDTSFYNPDTQRLVWACVGVEVGRGQPLGVGISGHPLLNKLDDTENASAYAANAGVDNRECISMDYKQTQLCLIGCKPPIGEHWGKGSPCTNVAVNPGDCPPLELINTVIQDGDMVDTGFGAMDFTTLQANKSEVPLDICTSICKYPDYIKMVSEPYGDSLFFYLRREQMFVRHLFNRAGTVGENVPDDLYIKGSGSTANLASSNYFPTPSGSMVTSDAQIFNKPYWLQRAQGHNNGICWGNQLFVTVVDTTRSTNMSLCAAISTSETTYKNTNFKEYLRHGEEYDLQFIFQLCKITLTADVMTYIHSMNSTILEDWNFGLQPPPGGTLEDTYRFVTSQAIACQKHTPPAPKEDPLKKYTFWEVNLKEKFSADLDQFPLGRKFLLQAGLKAKPKFTLGKRKATPTTSSTSTTAKRKKRKL |
| Purity : | > 90% by SDS-PAGE |
| Storage : | Store it under sterile conditions at -20 to -80 centigrade. It is recommended that the protein be aliquoted for optimal storage. Avoid repeated freeze-thaw cycles. |
| Concentration : | 0.16 mg/mL by BCA |
| Storage Buffer : | Sterile 50 mM Tris, 200 mM NaCl, 0.1% SKL, pH 7.5 |
| Gene Name | L1 major capsid protein L1 [ Human papillomavirus type 16 ] |
| Official Symbol | L1 |
| Synonyms | L1; major capsid protein L1 |
| Gene ID | 1489082 |
| Protein Refseq | NP_041332 |
| UniProt ID | P03101 |
Not For Human Consumption!
Inquiry
- Reviews (0)
- Q&As (0)
Ask a Question for All L1 Products
Required fields are marked with *
My Review for All L1 Products
Required fields are marked with *
