Recombinant Human CRBN Protein, His-tagged
| Cat.No. : | CRBN-09H |
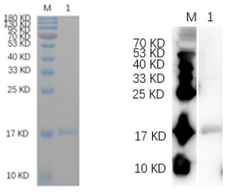
| Product Overview : | Recombinant Human CRBN Protein, fused to His-tag, was expressed in E. coli. |
- Specification
- Gene Information
- Related Products
- Download
| Species : | Human |
| Source : | E.coli |
| Tag : | His |
| Description : | This gene encodes a protein related to the Lon protease protein family. In rodents and other mammals this gene product is found in the cytoplasm localized with a calcium channel membrane protein, and is thought to play a role in brain development. Mutations in this gene are associated with autosomal recessive nonsyndromic cognitive disability. Multiple transcript variants encoding different isoforms have been found for this gene. |
| Form : | 50mM Tris, 0.3 M NaCl, pH 8.0. |
| Molecular Mass : | 17.6 kDa |
| AA Sequence : | MHHHHHHHHHHMNKCTSLCCKQCQETEITTKNEIFSLSLCGPMAAYVNPHGYVHETLTVYKACNLNLIGRPSTEHSWFPGYAWTVAQCKICASHIGWKFTATKKDMSPQKFWGLTRSALLPTIPDTEDEISPDKVILCLGLNDIFEAQKIEWHE |
| Purity : | >90% |
| Storage : | Store it under sterile conditions at -20 to -80 centigrade. It is recommended that the protein be aliquoted for optimal storage. Avoid repeated freeze-thaw cycles. |
| Concentration : | 0.4 mg/mL |
| Gene Name | CRBN cereblon [ Homo sapiens (human) ] |
| Official Symbol | CRBN |
| Synonyms | MRT2; MRT2A |
| Gene ID | 51185 |
| mRNA Refseq | NM_016302 |
| Protein Refseq | NP_057386 |
| MIM | 609262 |
| UniProt ID | Q96SW2 |
| ◆ Recombinant Proteins | ||
| CRBN-12H | Recombinant Human CRBN Full Length Transmembrane protein, His-tagged | +Inquiry |
| CRBN-1586R | Recombinant Rat CRBN Protein | +Inquiry |
| CRBN-2109M | Recombinant Mouse CRBN Protein (1-445 aa), His-Myc-tagged | +Inquiry |
| CRBN-16H | Recombinant Human CRBN Protein, His-tagged | +Inquiry |
| CRBN-798HFL | Recombinant Full Length Human CRBN Protein, C-Flag-tagged | +Inquiry |
| ◆ Native Proteins | ||
| CRBN-657H | Recombinant Human CRBN Protein, His&Avi tagged, Biotinylated | +Inquiry |
| ◆ Cell & Tissue Lysates | ||
| CRBN-395HCL | Recombinant Human CRBN cell lysate | +Inquiry |
Not For Human Consumption!
Inquiry
- Reviews (0)
- Q&As (0)
Ask a Question for All CRBN Products
Required fields are marked with *
My Review for All CRBN Products
Required fields are marked with *
