Recombinant Human CRTC2 Protein, GST-tagged
| Cat.No. : | CRTC2-01H |
| Product Overview : | Recombinant Human CRTC2 Protein, fused to GST-tag, was expressed in E. coli. |
- Specification
- Gene Information
- Related Products
- Download
| Species : | Human |
| Source : | E.coli |
| Tag : | GST |
| Description : | This gene encodes a member of the transducers of regulated cAMP response element-binding protein activity family of transcription coactivators. These proteins promote the transcription of genes targeted by the cAMP response element-binding protein, and therefore play an important role in many cellular processes. Under basal conditions the encoded protein is phosphorylated by AMP-activated protein kinase or the salt-inducible kinases and is sequestered in the cytoplasm. Upon activation by elevated cAMP or calcium, the encoded protein translocates to the nucleus and increases target gene expression. Single nucleotide polymorphisms in this gene may increase the risk of type 2 diabetes. A pseudogene of this gene is located on the long arm of chromosome 5. |
| Form : | 50mM Tris, 20mM NaCl, pH 8.0. |
| Molecular Mass : | 105 kDa |
| AA Sequence : | MSPILGYWKIKGLVQPTRLLLEYLEEKYEEHLYERDEGDKWRNKKFELGLEFPNLPYYIDGDVKLTQSMAIIRYIADKHNMLGGCPKERAEISMLEGAVLDIRYGVSRIAYSKDFETLKVDFLSKLPEMLKMFEDRLCHKTYLNGDHVTHPDFMLYDALDVVLYMDPMCLDAFPKLVCFKKRIEAIPQIDKYLKSSKYIAWPLQGWQATFGGGDHPPKSDGSTSGSGHHHHHHSAGLVPRGSTAIGMKETAAAKFERQHMDSPDLGTGGGSGDDDDKSPMATSGANGPGSATASASNPRKFSEKIALQKQRQAEETAAFEEVMMDIGSTRLQAQKLRLAYTRSSHYGGSLPNVNQIGSGLAEFQSPLHSPLDSSRSTRHHGLVERVQRDPRRMVSPLRRYTRHIDSSPYSPAYLSPPPESSWRRTMAWGNFPAEKGQLFRLPSALNRTSSDSALHTSVMNPSPQDTYPGPTPPSILPSRRGGILDGEMDPKVPAIEENLLDDKHLLKPWDAKKLSSSSSRPRSCEVPGINIFPSPDQPANVPVLPPAMNTGGSLPDLTNLHFPPPLPTPLDPEETAYPSLSGGNSTSNLTHTMTHLGISRGMGLGPGYDAPGLHSPLSHPSLQSSLSNPNLQASLSSPQPQLQGSHSHPSLPASSLARHVLPTTSLGHPSLSAPALSSSSSSSSTSSPVLGAPSYPASTPGASPHHRRVPLSPLSLLAGPADARRSQQQLPKQFSPTMSPTLSSITQGVPLDTSKLSTDQRLPPYPYSSPSLVLPTQPHTPKSLQQPGLPSQSCSVQSSGGQPPGRQSHYGTPYPPGPSGHGQQSYHRPMSDFNLGNLEQFSMESPSASLVLDPPGFSEGPGFLGGEGPMGGPQDPHTFNHQNLTHCSRHGSGPNIILTGDSSPGFSKEIAAALAGVPGFEVSAAGLELGLGLEDELRMEPLGLEGLNMLSDPCALLPDPAVEESFRSDRLQ |
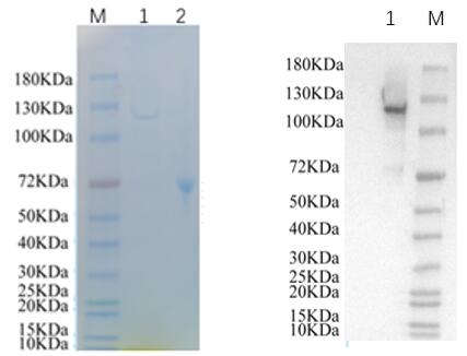
| Purity : | >90% by SDS-PAGE |
| Storage : | Store it under sterile conditions at -20 to -80 centigrade. It is recommended that the protein be aliquoted for optimal storage. Avoid repeated freeze-thaw cycles. |
| Concentration : | 0.155 mg/mL |
| Gene Name | CRTC2 CREB regulated transcription coactivator 2 [ Homo sapiens (human) ] |
| Official Symbol | CRTC2 |
| Synonyms | TORC2; TORC-2 |
| Gene ID | 200186 |
| mRNA Refseq | NM_181715.3 |
| Protein Refseq | NP_859066.1 |
| MIM | 608972 |
| UniProt ID | Q53ET0 |
Not For Human Consumption!
Inquiry
- Reviews (0)
- Q&As (0)
Ask a Question for All CRTC2 Products
Required fields are marked with *
My Review for All CRTC2 Products
Required fields are marked with *
