Recombinant Human CRTC2 Protein, GST tagged
| Cat.No. : | CRTC2-12H |
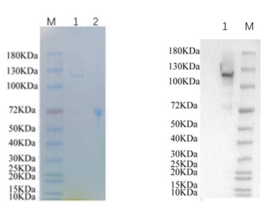
| Product Overview : | Recombinant Human CRTC2 Protein with GST tag was expressed in E. coli. |
- Specification
- Gene Information
- Related Products
- Download
| Species : | Human |
| Source : | E.coli |
| Tag : | GST |
| Molecular Mass : | The protein has a calculated MW of 105 kDa. |
| AA Sequence : | MSPILGYWKIKGLVQPTRLLLEYLEEKYEEHLYERDEGDKWRNKKFELGLEFPNLPYYIDGDVKLTQSMAIIRYIADKHNMLGGCPKERAEISMLEGAVLDIRYGVSRIAYSKDFETLKVDFLSKLPEMLKMFEDRLCHKTYLNGDHVTHPDFMLYDALDVVLYMDPMCLDAFPKLVCFKKRIEAIPQIDKYLKSSKYIAWPLQGWQATFGGGDHPPKSDGSTSGSGHHHHHHSAGLVPRGSTAIGMKETAAAKFERQHMDSPDLGTGGGSGDDDDKSPMATSGANGPGSATASASNPRKFSEKIALQKQRQAEETAAFEEVMMDIGSTRLQAQKLRLAYTRSSHYGGSLPNVNQIGSGLAEFQSPLHSPLDSSRSTRHHGLVERVQRDPRRMVSPLRRYTRHIDSSPYSPAYLSPPPESSWRRTMAWGNFPAEKGQLFRLPSALNRTSSDSALHTSVMNPSPQDTYPGPTPPSILPSRRGGILDGEMDPKVPAIEENLLDDKHLLKPWDAKKLSSSSSRPRSCEVPGINIFPSPDQPANVPVLPPAMNTGGSLPDLTNLHFPPPLPTPLDPEETAYPSLSGGNSTSNLTHTMTHLGISRGMGLGPGYDAPGLHSPLSHPSLQSSLSNPNLQASLSSPQPQLQGSHSHPSLPASSLARHVLPTTSLGHPSLSAPALSSSSSSSSTSSPVLGAPSYPASTPGASPHHRRVPLSPLSLLAGPADARRSQQQLPKQFSPTMSPTLSSITQGVPLDTSKLSTDQRLPPYPYSSPSLVLPTQPHTPKSLQQPGLPSQSCSVQSSGGQPPGRQSHYGTPYPPGPSGHGQQSYHRPMSDFNLGNLEQFSMESPSASLVLDPPGFSEGPGFLGGEGPMGGPQDPHTFNHQNLTHCSRHGSGPNIILTGDSSPGFSKEIAAALAGVPGFEVSAAGLELGLGLEDELRMEPLGLEGLNMLSDPCALLPDPAVEESFRSDRLQ |
| Purity : | > 90% by SDS-PAGE |
| Storage : | Store it under sterile conditions at -20 to -80 centigrade. It is recommended that the protein be aliquoted for optimal storage. Avoid repeated freeze-thaw cycles. |
| Concentration : | 0.155 mg/mL |
| Storage Buffer : | 50 mM Tris, 20 mM NaCl, pH 8.0 |
| Gene Name | CRTC2 CREB regulated transcription coactivator 2 [ Homo sapiens ] |
| Official Symbol | CRTC2 |
| Synonyms | CRTC2; CREB regulated transcription coactivator 2; CREB-regulated transcription coactivator 2; TORC2; transducer of regulated cAMP response element-binding protein (CREB) 2; TORC-2; |
| Gene ID | 200186 |
| mRNA Refseq | NM_181715 |
| Protein Refseq | NP_859066 |
| MIM | 608972 |
| UniProt ID | Q53ET0 |
| ◆ Recombinant Proteins | ||
| CRTC2-12H | Recombinant Human CRTC2 Protein, GST tagged | +Inquiry |
| CRTC2-860R | Recombinant Rhesus Macaque CRTC2 Protein, His (Fc)-Avi-tagged | +Inquiry |
| CRTC2-11593H | Recombinant Human CRTC2 protein, His-tagged | +Inquiry |
| CRTC2-01C | Recombinant Human CRTC2 Protein, GST tagged | +Inquiry |
| CRTC2-2739H | Recombinant Human CRTC2 Protein, His (Fc)-Avi-tagged | +Inquiry |
| ◆ Cell & Tissue Lysates | ||
| CRTC2-7271HCL | Recombinant Human CRTC2 293 Cell Lysate | +Inquiry |
Not For Human Consumption!
Inquiry
- Reviews (0)
- Q&As (0)
Ask a Question for All CRTC2 Products
Required fields are marked with *
My Review for All CRTC2 Products
Required fields are marked with *
