Recombinant Human HNRNPH1 Protein, His-tagged

Cat.No. : HNRNPH1-40H
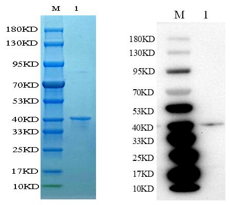
Product Overview : Recombinant Human HNRNPH1 Protein, fused to His-tag, was expressed in E. coli.
  • Specification
  • Gene Information
  • Related Products
  • Download
Species : Human
Source : E.coli
Tag : His
Description : This gene encodes a member of a subfamily of ubiquitously expressed heterogeneous nuclear ribonucleoproteins (hnRNPs). The hnRNPs are RNA binding proteins that complex with heterogeneous nuclear RNA. These proteins are associated with pre-mRNAs in the nucleus and appear to influence pre-mRNA processing and other aspects of mRNA metabolism and transport. While all of the hnRNPs are present in the nucleus, some may shuttle between the nucleus and the cytoplasm. The hnRNP proteins have distinct nucleic acid binding properties. The protein encoded by this gene has three repeats of quasi-RRM domains that bind to RNA and is very similar to the family member HNRPF. This gene may be associated with hereditary lymphedema type I.
Form : 58mM Na2HPO4, 17mM NaH2PO4, 68mM NaCl, 300mM Imidazole, 0.7% Sarcosyl, 15% glycerol, pH8.0.
Molecular Mass : 38.7 kDa
AA Sequence : MSPDTANDGFVRLRGLPFGCSKEEIVQFFSGLEIVPNGITLPVDFQGRSTGEAFVQFASQEIAEKALKKHKERIGHRYIEIFKSSRAEVRTHYDPPRKLMAMQRPGPYDRPGAGRGYNSIGRGAGFERMRRGAYGGGYGGYDDYNGYNDGYGFGSDRFGRDLNYCFSGMSDHRYGDGGSTFQSTTGHCVHMRGLPYRATENDIYNFFSPLNPVRVHIEIGPDGRVTGEADVEFATHEDAVAAMSKDKANMQHRYVELFLNSTAGASGGAYEHRYVELFLNSTAGASGGAYGSQMMGGMGLSNQSSYGGPASQQLSGGYGGGYGGQSSMSGYDQVLQENSSDFQSNIALEHHHHHH
Purity : >90%
Storage : Store it under sterile conditions at -20 to -80 centigrade. It is recommended that the protein be aliquoted for optimal storage. Avoid repeated freeze-thaw cycles.
Concentration : 0.94 mg/ml
Gene Name HNRNPH1 heterogeneous nuclear ribonucleoprotein H1 [ Homo sapiens (human) ]
Official Symbol HNRNPH1
Synonyms HNRPH; HNRPH1; hnRNPH
Gene ID 3187
mRNA Refseq NM_001257293
Protein Refseq NP_001244222
MIM 601035
UniProt ID P31943

Not For Human Consumption!

Inquiry

  • Reviews (0)
  • Q&As (0)

Customer Reviews

Write a review

Ask a Question for All HNRNPH1 Products

Required fields are marked with *

My Review for All HNRNPH1 Products

Required fields are marked with *

0
cart-icon
0
compare icon