Recombinant Human MIF Protein
| Cat.No. : | MIF-033H |
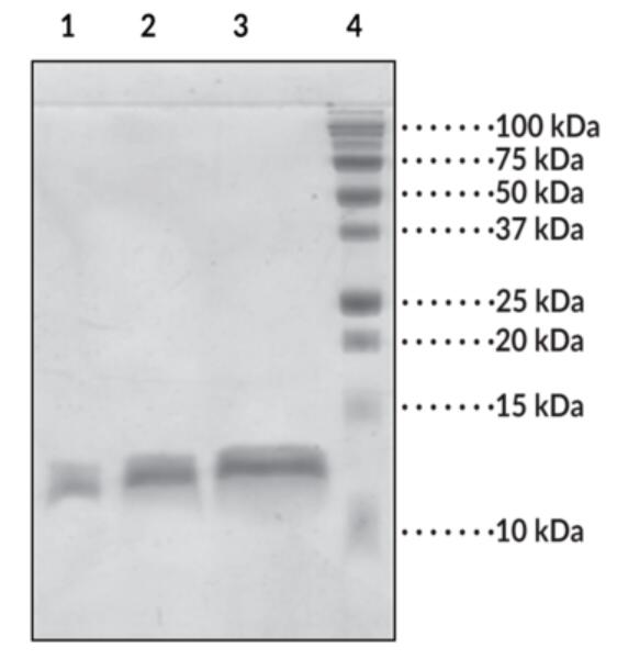
| Product Overview : | Recombinant human MIF protein without tag was expressed in E. coli. |
- Specification
- Gene Information
- Related Products
- Download
| Species : | Human |
| Source : | E.coli |
| Description : | This gene encodes a lymphokine involved in cell-mediated immunity, immunoregulation, and inflammation. It plays a role in the regulation of macrophage function in host defense through the suppression of anti-inflammatory effects of glucocorticoids. This lymphokine and the JAB1 protein form a complex in the cytosol near the peripheral plasma membrane, which may indicate an additional role in integrin signaling pathways. |
| Molecular Mass : | 12.6 kDa |
| Purity : | ≥95% as determined by SDS-PAGE |
| Unit Definition : | One unit is defined as the amount of enzyme required to tautomerize 1 nmole of L-dopachrome (5,6-dihydroxyindole-2-carboxylate methyl ester) per minute at 21 centigrade in 40 mM Bis-Tris, pH 6.2, 0.8 mM EDTA, containing 260 μM L-dopachrome methyl ester, and 510 μM sodium periodate. |
| Stability : | ≥ 1 year |
| Storage : | At -80 centigrade. |
| Gene Name | MIF macrophage migration inhibitory factor [ Homo sapiens (human) ] |
| Official Symbol | MIF |
| Synonyms | MIF; macrophage migration inhibitory factor; GIF; GLIF; MMIF; macrophage migration inhibitory factor; L-dopachrome isomerase; L-dopachrome tautomerase; epididymis secretory sperm binding protein; macrophage migration inhibitory factor (glycosylation-inhibiting factor); phenylpyruvate tautomerase; EC 5.3.2.1; EC 5.3.3.12 |
| Gene ID | 4282 |
| mRNA Refseq | NM_002415 |
| Protein Refseq | NP_002406 |
| MIM | 153620 |
| UniProt ID | P14174 |
| ◆ Recombinant Proteins | ||
| MIF-23H | Recombinant Human MIF protein, His-tagged | +Inquiry |
| MIF-4551H | Recombinant Human MIF Protein (Met1-Ala115), C-His tagged | +Inquiry |
| MIF-3816H | Recombinant Human MIF protein, His-tagged | +Inquiry |
| Mif-676R | Recombinant Rat Mif protein, His-tagged | +Inquiry |
| MIF-4550H | Recombinant Human MIF Protein (Met1-Ala115), N-His tagged | +Inquiry |
| ◆ Cell & Tissue Lysates | ||
| MIF-1884MCL | Recombinant Mouse MIF cell lysate | +Inquiry |
| MIF-1917HCL | Recombinant Human MIF cell lysate | +Inquiry |
Not For Human Consumption!
Inquiry
- Reviews (0)
- Q&As (0)
Ask a Question for All MIF Products
Required fields are marked with *
My Review for All MIF Products
Required fields are marked with *
