Recombinant Human Mononucleosomes (H3.3 ΔN32)
| Cat.No. : | NUC-010 |
| Product Overview : | Mononucleosomes assembled from recombinant human histones expressed in E. coli. |
- Specification
- Gene Information
- Related Products
- Download
| Species : | Human |
| Source : | E.coli |
| Tag : | Non |
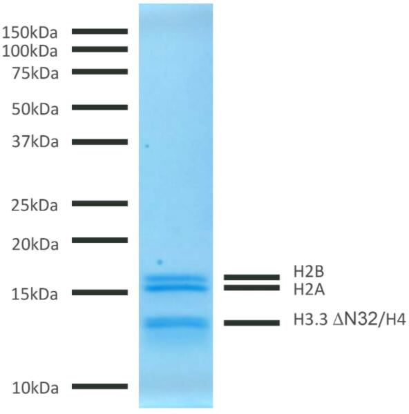
| Description : | Mononucleosomes assembled from recombinant human histones expressed in E. coli (two each of histones H2A, H2B, H3.3 and H4. Accession numbers: H2A-P04908; H2B-O60814; H3.3-P84243; H4-P62805), with the amino acid sequence of H3 begining with glycine 33 (amino acids 1-32 are deleted), wrapped by 147 base pairs of 601 positioning sequence DNA. The nucleosome is the basic subunit of chromatin. The 601 sequence, identified by Lowary and Widom, is a 147-base pair sequence that has high affinity for histone octamers and is useful for nucleosome assembly. |
| Form : | Mononucleosomes (H3.3 ΔN32), Recombinant Human (27.4 µg protein weight, 50 µg DNA+protein) in 10 mM Tris HCl, pH 7.5, 25 mM NaCl, 1 mM EDTA, 2 mM DTT, 20% glycerol. |
| Molecular Mass : | 193,766.7 Da |
| Applications : | Mononucleosomes (H3.3 ΔN32), Human Recombinant are highly purified and suitable for use as substrates in enzyme screening assays, structural studies, or effector protein binding experiments. The N-terminal deletion allows for the study of the role of the N-terminus in many aspects of chromatin biology. |
| Storage : | Stable for six months at -80°C from date of receipt. For best results, aliquot and avoid multiple freeze/thaws. |
| ◆ Recombinant Proteins | ||
| NUC-005 | Recombinant Human Mononucleosomes, Desthiobiotinylated | +Inquiry |
| NUC-001 | Active Recombinant Human Nucleosome, H2A-Ubiquityl Protein, CF | +Inquiry |
| NUC-066 | Nucleosome K-MetStat & OncoStat Panel | +Inquiry |
| NUC-046 | Recombinant Human Mononucleosomes (H3.3K9M), Biotinylated | +Inquiry |
| NUC-067 | Nucleosome K-AcylStat Panel | +Inquiry |
Not For Human Consumption!
Inquiry
- Reviews (0)
- Q&As (0)
Ask a Question for All NUC Products
Required fields are marked with *
My Review for All NUC Products
Required fields are marked with *
