Active Recombinant Rat Lgals9 protein, His-tagged

Cat.No. : Lgals9-435R
Product Overview : Active Recombinant Rat Lgals9 protein(P97840)(17~147 aa), fused with N-terminal His tag, was expressed in E.coli.
  • Specification
  • Gene Information
  • Related Products
  • Download
Species : Rat
Source : E.coli
Tag : His
Protein Length : 17-147 aa
Form : Lyophilized from sterile PBS, pH7.4, containing 0.01% SKL, 1mM DTT, 5% Trehalose and Proclin300.
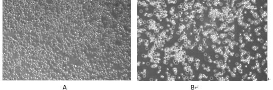
Bio-activity : Galectin 9 (GAL9) is a member of the β-galactoside–binding galectin family. Galectin-9 is found outside of cells and may be exported by non-classical pathways. Galectin 9 exhibits a variety of biological activities, the majority of which have focused on its immunomodulatory role toward lymphocytes, were it shows specific interactions with TIM-3, and can negatively regulate Th1 type immunity. It also can agglutinate red blood.In this case, we chose rabbit erythrocyte (RaE) to assay its ability of agglutination. A general procedure for hemagglutination assay (or haemagglutination assay; HA) is as follows, two-fold dilute the recombinant Rat GAL9 with 0.9% sodium chloride injection, add 50μL a serial dilution of GAL9 to each well of a U or V-bottom shaped 96-well microtiter plate. The final well serves as a negative control with no GAL9, replace with 50μL 0.9% sodium chloride injection. Then add 50μL 1% rabbit erythrocyte to each well and mixed gently. The plate is incubated for 3 hours at room temperature. The results are shown. It was obvious that the minimal effective concentration of GAL9 is 6.25 μg/mL.
Molecular Mass : 16.3kDa
Endotoxin : <1.0EU per 1μg (determined by the LAL method).
Purity : > 97% as determined by SDS-PAGE.
Storage : Avoid repeated freeze/thaw cycles. Store at -20°C for 12 months. Aliquot and store at -80°C for 12 months.
Reconstitution : Reconstitute in 10mM PBS (pH7.4) to a concentration of 0.1-1.0 mg/mL. Do not vortex.
Gene Name Lgals9 lectin, galactoside-binding, soluble, 9 [ Rattus norvegicus ]
Official Symbol Lgals9
Synonyms LGALS9; lectin, galactoside-binding, soluble, 9; galectin-9; UAT; gal-9; urate transporter/channel; 36 kDa beta-galactoside-binding lectin; Lectin galactose binding soluble 9 (Galectin-9); Lectin, galactose binding, soluble 9 (Galectin-9);
Gene ID 25476
mRNA Refseq NM_012977
Protein Refseq NP_037109

Not For Human Consumption!

Inquiry

  • Reviews (0)
  • Q&As (0)

Customer Reviews

Write a review

Ask a Question for All Lgals9 Products

Required fields are marked with *

My Review for All Lgals9 Products

Required fields are marked with *

0
cart-icon
0
compare icon