Recombinant SARS-CoV-2 (B.1.351, Beta) Virus-Like Particles
| Cat.No. : | VLP-349S | 
| Product Overview : | Recombinant SARS-CoV-2 (B.1.351, Beta) Virus-Like Particles without tag was expressed in HEK293. | 
- Specification
 - Gene Information
 - Related Products
 - Download
 
| Species : | SARS-CoV-2 | 
| Source : | HEK293 | 
| Description : | SARS-CoV-2 virus-like particles B1.351 (Beta) are composed of four structural proteins: Membrane protein (M), Nucleocapsid protein (N), Beta-spike protein (S) and Envelope protein (E). VLPs are produced in mammalian HEK293 cells. | 
| Form : | Liquid | 
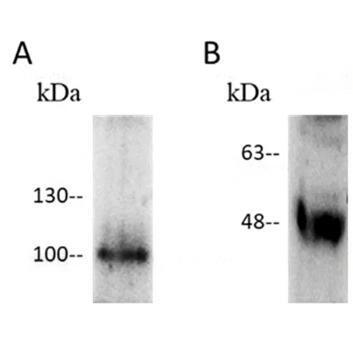
| Molecular Mass : | Purified SARS-CoV-2 VLPs B1.351 (Beta) was analyzed migrates about 100 kDa under reducing condition,using Human anti-SARS- CoV-2 Spike antibody. (Western blot) Purified SARS-CoV-2 VLPs B1.351 (Beta) was analyzed migrates about 48 kDa under reducing condition,using Mouse anti-SARS-CoV & CoV-2 NP mAb, clone 102-7. (Western blot)  | 
                                
| Storage : | The product is shipped with polar packs. Upon receipt, store it immediately at -80 centigrade or lower for long term storage. | 
| Concentration : | 1 mg/mL | 
| Storage Buffer : | Phosphate buffered saline, pH 7.4. | 
| Shipping : | This product is stable after storage at: -80 centigrade for long-term storage under sterile conditions. Avoid repeated free-thaw cycles. Thaw quickly using a 37 centigrade water bath immediately before use.  | 
                                
| Official Symbol | VLP | 
| Synonyms | Virus Like Particles; VLP | 
| ◆ Recombinant Proteins | ||
| VLP-01C | VLPs isotype control | +Inquiry | 
| VLP-350S | Recombinant SARS-CoV-2 (B.1.617.2, Delta) Virus-Like Particles | +Inquiry | 
| VLP-06D | Recombinant DENV1 VLP (399-497aa) | +Inquiry | 
| VLP-346S | Recombinant SARS-CoV-2 Virus-Like Particles | +Inquiry | 
| VLP-03D | Recombinant Dengue Virus Serotype 3 VLP | +Inquiry | 
Not For Human Consumption!
Inquiry
- Reviews (0)
 - Q&As (0)
 
Ask a Question for All VLP Products
Required fields are marked with *
My Review for All VLP Products
Required fields are marked with *
  
        
    
      
            