Recombinant SARS-CoV-2 M Protein, C-GFP/His-Tagged
| Cat.No. : | M-33S |
| Product Overview : | Recombinant SARS-CoV-2 (Wuhan seafood market pneumonia virus) M Protein with C-GFP/His tag was expressed in HEK293-F. |
- Specification
- Gene Information
- Related Products
- Download
| Species : | SARS-CoV-2 |
| Source : | HEK293 |
| Tag : | GFP&His |
| Description : | Severe acute respiratory syndrome coronavirus 2 (SARS-CoV-2) is an enveloped, positive-sense, single-stranded RNA virus that causes coronavirus disease 2019 (COVID-19). Virus particles include the RNA genetic material and structural proteins needed for invasion of host cells. Once inside the cell the infecting RNA is used to encode structural proteins that make up virus particles, nonstructural proteins that direct virus assembly, transcription, replication and host control and accessory proteins whose function has not been determined.~ The structural proteins of SARS-CoV-2 include the envelope protein (E), spike or surface glycoprotein (S), membrane protein (M) and the nucleocapsid protein (N). The membrane protein is a transmembrane glycoprotein, is the most abundant structural protein in the virus particle and has been suggested as an antiviral drug target. |
| Form : | Liquid |
| AA Sequence : | MADSNGTITVEELKKLLEQWNLVIGFLFLTWICLLQFAYANRNRFLYIIKLIFLWLLWPVTLACFVLAAVYRINWITGGIAIAMACLVGLMWLSYFIASFRLFARTRSMWSFNPETNILLNVPLHGTILTRPLLESELVIGAVILRGHLRIAGHHLGRCDIKDLPKEITVATSRTLSYYKLGASQRVAGDSGFAAYSRYRIGNYKLNTDHSSSSDNIALLVQ |
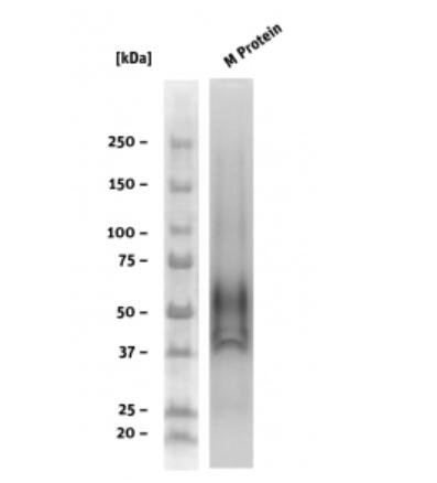
| Purity : | > 85% as determined by SDS-PAGE |
| Storage : | Stored and shipped at -80 centigrade |
| Storage Buffer : | 20mM Tris, pH 7.5, 300mM NaCl, 0.05% DDM, 0.5% CHS |
| Gene Name | M membrane glycoprotein [ Severe acute respiratory syndrome coronavirus 2 ] |
| Official Symbol | M |
| Synonyms | M; membrane glycoprotein; membrane glycoprotein; ORF5; structural protein |
| Gene ID | 43740571 |
| Protein Refseq | YP_009724393 |
| UniProt ID | P0DTC5 |
Not For Human Consumption!
Inquiry
- Reviews (0)
- Q&As (0)
Ask a Question for All M Products
Required fields are marked with *
My Review for All M Products
Required fields are marked with *
