Recombinant SARS-CoV-2 Spike Trimer (S1+S2) (BA.2.75.2, Omicron Variant), C-His-tagged
| Cat.No. : | Spike-17S |
| Product Overview : | Recombinant SARS-CoV-2 Spike protein in its homotrimeric form, containing S1+S2 subunits. This protein corresponds to SARS-CoV-2 Omicron Variant BA.2.75.2 and contains T19I, LPP24-26del, A27S, G142D, K147E, W152R, F157L, I210V, V213G, G257S, G339H, R346T, S371F, S373P, S375F, T376A, D405N, R408S, K417N, N440K, G446S, N460K, S477N, T478K, E484A, F486S, Q498R, N501Y, Y505H, D614G, H655Y, N679K, P681H, N764K, D796Y, Q954H, N969K, D1199N mutations. The construct also contains a C-terminal His-tag. The recombinant protein was affinity purified. |
- Specification
- Gene Information
- Related Products
- Download
| Species : | SARS-CoV-2 |
| Tag : | His |
| Description : | Severe acute respiratory syndrome coronavirus 2 (SARS-CoV-2) is an enveloped, positive-sense, single-stranded RNA virus that causes coronavirus disease 2019 (COVID-19). Virus particles include the RNA genetic material and structural proteins needed for invasion of host cells. Once inside the cell the infecting RNA is used to encode structural proteins that make up virus particles, nonstructural proteins that direct virus assembly, transcription, replication and host control and accessory proteins whose function has not been determined.~ The structural proteins of SARS-CoV-2 include the envelope protein (E), spike or surface glycoprotein (S), membrane protein (M) and the nucleocapsid protein (N). The spike glycoprotein is found on the outside of the virus particle and gives coronavirus viruses their crown-like appearance. This glycoprotein mediates attachment of the virus particle and entry into the host cell. S protein is an important target for vaccine development, antibody therapies and diagnostic antigen-based tests. |
| Form : | Aqueous buffer solution. |
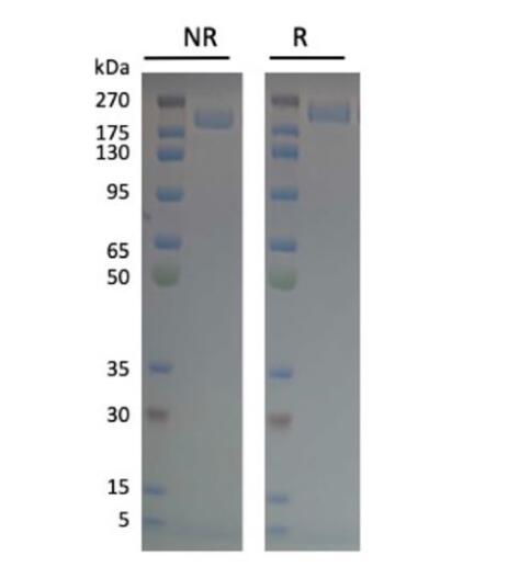
| Molecular Mass : | Apparent MW of >175 kDa in SDS-PAGE due to glycosylation |
| Purity : | ≥90% |
| Applications : | Screen or titrate anti-spike antibodies or inhibitors; use as antigen control in assay design and optimization. |
| Usage : | Thaw on ice and gently mix prior to use. DO NOT VORTEX. Perform a quick spin before opening. Aliquot into small volumes and flash freeze for long term storage. |
| Storage : | At least 6 months at -80 centigrade. This protein is highly sensitive to freeze/thaw cycles. |
| Storage Buffer : | 1×PBS, 0.09% NaN3 |
| Shipping : | -80 centigrade |
| Warning : | Avoid multiple freeze/thaw cycles. |
| Gene Name | S surface glycoprotein [ Severe acute respiratory syndrome coronavirus 2 ] |
| Official Symbol | S |
| Synonyms | S; surface glycoprotein; structural protein; spike protein |
| Gene ID | 43740568 |
| Protein Refseq | YP_009724390 |
| UniProt ID | P0DTC2 |
Not For Human Consumption!
Inquiry
- Reviews (0)
- Q&As (0)
Ask a Question for All S Products
Required fields are marked with *
My Review for All S Products
Required fields are marked with *
