Active Recombinant 2019-nCoV Spike S1 (N501Y, D614G) Protein, His-tagged
| Cat.No. : | S-597S |
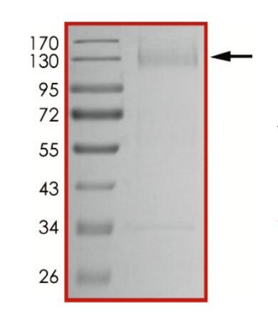
| Product Overview : | Recombinant 2019-nCoV Spike protein S1 (N501Y, D614G) (16-685) was expressed in CHO cells using a C-terminal His-tag. |
- Specification
- Gene Information
- Related Products
- Download
| Species : | SARS-CoV-2 |
| Source : | CHO |
| Tag : | His |
| Protein Length : | 319-541 |
| Description : | Severe acute respiratory syndrome coronavirus 2 (SARS-CoV-2) is an enveloped, positive-sense, single-stranded RNA virus that causes coronavirus disease 2019 (COVID-19). Virus particles include the RNA genetic material and structural proteins needed for invasion of host cells. Once inside the cell the infecting RNA is used to encode structural proteins that make up virus particles, nonstructural proteins that direct virus assembly, transcription, replication and host control and accessory proteins whose function has not been determined.~ The structural proteins of SARS-CoV-2 include the envelope protein (E), spike or surface glycoprotein (S), membrane protein (M) and the nucleocapsid protein (N). The spike glycoprotein is found on the outside of the virus particle and gives coronavirus viruses their crown-like appearance. This glycoprotein mediates attachment of the virus particle and entry into the host cell. S protein is an important target for vaccine development, antibody therapies and diagnostic antigen-based tests. |
| Bio-activity : | Binding of ACE2 (19-740) Protein to immobilized 2019-nCoV spike protein S1 (Δ69-70) was determined by functional ELISA. |
| Molecular Mass : | 130 kDa (calculated MW~76 kDa) |
| Purity : | >90 % |
| Stability : | One year at -70 centigrade from date of shipment. |
| Storage : | Store product at –70 centigrade. For optimal storage, aliquot targets into smaller quantities after centrifugation and store at the recommended temperature. For most favorable performance, avoid repeated handling and multiple freeze/thaw cycles. |
| Concentration : | 1.0 μg/μL |
| Storage Buffer : | Recombinant protein stored in 50mM sodium phosphate, pH 7.5, 300mM NaCl, 150mM imidazole. |
| Gene Name | S surface glycoprotein [ Severe acute respiratory syndrome coronavirus 2 ] |
| Official Symbol | S |
| Synonyms | S; surface glycoprotein; spike glycoprotein; surface glycoprotein; structural protein; spike protein |
| Gene ID | 43740568 |
| mRNA Refseq | MN908947 |
| Protein Refseq | YP_009724390 |
Not For Human Consumption!
Inquiry
- Reviews (0)
- Q&As (0)
Ask a Question for All S Products
Required fields are marked with *
My Review for All S Products
Required fields are marked with *
