Active Recombinant Mouse Gdf15 protein
| Cat.No. : | Gdf15-393M |
| Product Overview : | Recombinant Mouse Gdf15(Ser189-Ala303) was expressed in E. coli. |
| Availability | November 29, 2025 |
| Unit | |
| Price | |
| Qty |
- Specification
- Gene Information
- Related Products
- Download
| Species : | Mouse |
| Source : | E.coli |
| Tag : | Non |
| Protein Length : | Ser189-Ala303 |
| Description : | Growth Differentiation Factor 15 (GDF-15), also called Macrophage Inhibitory Cytokine 1 (MIC-1), Placental Transforming Growth Factor beta, Prostate-derived Factor, and Placental Bone Morphogenetic Protein, is a divergent member of the TGF-beta superfamily. Cellular responses to TGF-beta proteins are mediated by hetero-oligomeric complexes of type I and type II serine/threonine kinase receptors. GDF-15 is highly expressed in placenta and brain, and it is expressed at lower levels in kidney, pancreas, prostate, and colon. Similar to other TGF-beta family proteins, GDF-15 is synthesized as a large precursor protein that is cleaved at a dibasic cleavage site (RxxR) to release the mature protein. Mature mouse GDF-15 shares 66% and 97% amino acid sequence identity with the human and rat proteins, respectively. The C-terminal domain of GDF-15 contains seven characteristic conserved cysteine residues necessary for the formation of the cysteine knot and the single inter-chain disulfide bond. Biologically active GDF-15 is a disulfide-linked homodimer of the mature protein. GDF-15 has been shown to have various functions, including inhibition of TNF-alpha production from lipopolysaccharide-stimulated macrophages and the induction of cartilage formation. GDF-15 also promotes neuronal survival, and hypothalamic expression of GDF-15 causes appetite suppression via modulation of neuropeptide Y and pro-opiomelanocortin levels. GDF-15 is cardioprotective via inhibition of platelet activation, limiting atherosclerosis, promoting recovery following myocardial infarction, and regulating angiogenesis. Exposure of cardiomyocytes to GDF-15 results in Smad2 and Smad3 phosphorylation. |
| Predicted N Terminal : | Ser189 |
| Form : | Lyophilized from a 0.2 μm filtered solution in HCl. |
| Bio-activity : | Measured by its binding ability in a functional ELISA. When Recombinant Mouse GSF-15 is immobilized at 2 µg/mL (100 µL/well), the concentration of Recombinant Mouse Activin RIB/ALK-4 Fc Chimera that produces 50% of the optimal binding response is approximately 1-6 μg/mL. |
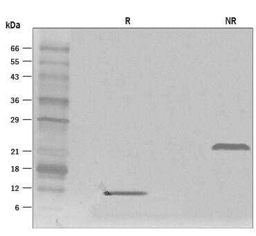
| Molecular Mass : | Predicted Molecular Mass: 13 kDa; SDS-PAGE: 9-13 kDa, reducing conditions. |
| Endotoxin : | <0.10 EU per 1 μg of the protein by the LAL method. |
| Purity : | >90%, by SDS-PAGE visualized with Silver Staining and quantitative densitometry by Coomassie® Blue Staining. |
| Storage : | Use a manual defrost freezer and avoid repeated freeze-thaw cycles. 12 months from date of receipt, -20 to -70 centigrade as supplied. 1 month, 2 to 8 centigrade under sterile conditions after reconstitution. 3 months, -20 to -70 centigrade under sterile conditions after reconstitution. |
| Reconstitution : | Reconstitute at 250 μg/mL in 4 mM HCl. |
| Shipping : | The product is shipped at ambient temperature. Upon receipt, store it immediately at the temperature recommended below. |
| Gene Name | Gdf15 growth differentiation factor 15 [ Mus musculus ] |
| Official Symbol | Gdf15 |
| Synonyms | GDF15; growth differentiation factor 15; growth/differentiation factor 15; GDF-15; macrophage inhibiting cytokine-1; SBF; MIC-1; NAG-1; |
| Gene ID | 23886 |
| mRNA Refseq | NM_011819 |
| Protein Refseq | NP_035949 |
| UniProt ID | Q9Z0J7 |
| Chromosome Location | 8; 8 B3.3 |
| Function | growth factor activity; |
| ◆ Recombinant Proteins | ||
| GDF15-1693C | Recombinant Cynomolgus GDF15 protein, His-tagged | +Inquiry |
| GDF15-101H | Recombinant Human GDF15 Protein, Ala197-Ile308, N-hFc tagged, Biotinylated | +Inquiry |
| GDF15-5644C | Recombinant Cynomolgus GDF15 protein, hFc-tagged, Biotinylated, Primary Amine Labeling | +Inquiry |
| GDF15-1855H | Active Recombinant Human GDF15 protein, Avi & Fc-tagged, Biotinylated | +Inquiry |
| Gdf15-393M | Active Recombinant Mouse Gdf15 protein | +Inquiry |
| ◆ Native Proteins | ||
| GDF15-27680TH | Active Native Human GDF15 Protein | +Inquiry |
| ◆ Cell & Tissue Lysates | ||
| GDF15-2705HCL | Recombinant Human GDF15 cell lysate | +Inquiry |
Not For Human Consumption!
Inquiry
- Reviews (0)
- Q&As (0)
Ask a Question for All Gdf15 Products
Required fields are marked with *
My Review for All Gdf15 Products
Required fields are marked with *
