Recombinant Full Length Human CRTAC1 Protein, His Tagged
| Cat.No. : | CRTAC1-001H |
| Product Overview : | Recombinant Full Length Human CRTAC1 Protein (28-661 aa) with His Tag was expressed in HEK293. |
| Availability | November 04, 2025 |
| Unit | |
| Price | |
| Qty |
- Specification
- Gene Information
- Related Products
- Download
| Species : | Human |
| Source : | HEK293 |
| Tag : | His |
| Protein Length : | 28-661 aa |
| Description : | This gene encodes a glycosylated extracellular matrix protein that is found in the interterritorial matrix of articular deep zone cartilage. This protein is used as a marker to distinguish chondrocytes from osteoblasts and mesenchymal stem cells in culture. The presence of FG-GAP motifs and an RGD integrin-binding motif suggests that this protein may be involved in cell-cell or cell-matrix interactions. Copy number alterations in this gene have been observed in neurofibromatosis type 1-associated glomus tumors. Alternative splicing results in multiple transcript variants. |
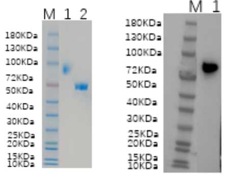
| Molecular Mass : | 70 kDa |
| AA Sequence : | SQRAEPMFTAVTNSVLPPDYDSNPTQLNYGVAVTDVDHDGDFEIVVAGYNGPNLVLKYDRAQKRLVNIAVDERSSPYYALRDRQGNAIGVTACDIDGDGREEIYFLNTNNAFSGVATYTDKLFKFRNNRWEDILSDEVNVARGVASLFAGRSVACVDRKGSGRYSIYIANYAYGNVGPDALIEMDPEASDLSRGILALRDVAAEAGVSKYTGGRGVSVGPILSSSASDIFCDNENGPNFLFHNRGDGTFVDAAASAGVDDPHQHGRGVALADFNRDGKVDIVYGNWNGPHRLYLQMSTHGKVRFRDIASPKFSMPSPVRTVITADFDNDQELEIFFNNIAYRSSSANRLFRVIRREHGDPLIEELNPGDALEPEGRGTGGVVTDFDGDGMLDLILSHGESMAQPLSVFRGNQGFNNNWLRVVPRTRFGAFARGAKVVLYTKKSGAHLRIIDGGSGYLCEMEPVAHFGLGKDEASSVEVTWPDGKMVSRNVASGEMNSVLEILYPRDEDTLQDPAPLECGQGFSQQENGHCMDTNECIQFPFVCPRDKPVCVNTYGSYRCRTNKKCSRGYEPNEDGTACVGTLGQSPGPRPTTPTAAAATAAAAAAAGAATAAPVLVDGDLNLGSVVKESCEPSCHHHHHHHH |
| Endotoxin : | < 1 EU/μg by LAL. |
| Purity : | > 90 % by SDS-PAGE |
| Storage : | Store it under sterile conditions at -20 to -80 centigrade. It is recommended that the protein be aliquoted for optimal storage. Avoid repeated freeze-thaw cycles. |
| Storage Buffer : | Sterile PBS, pH7.4 |
| Concentration : | 0.66 mg/mL by BCA |
| Gene Name | CRTAC1 cartilage acidic protein 1 [ Homo sapiens (human) ] |
| Official Symbol | CRTAC1 |
| Synonyms | CRTAC1; cartilage acidic protein 1; ASPIC; CEP68; LOTUS; ASPIC1; CEP-68; cartilage acidic protein 1; acidic secreted protein in cartilage; chondrocyte expressed protein 68 kDa CEP-68 |
| Gene ID | 55118 |
| mRNA Refseq | NM_018058 |
| Protein Refseq | NP_060528 |
| MIM | 606276 |
| UniProt ID | Q9NQ79 |
| ◆ Recombinant Proteins | ||
| CRTAC1-1989M | Recombinant Mouse CRTAC1 Protein, His (Fc)-Avi-tagged | +Inquiry |
| CRTAC1-11590H | Recombinant Human CRTAC1, GST-tagged | +Inquiry |
| CRTAC1-3320H | Recombinant Human CRTAC1 Protein, MYC/DDK-tagged | +Inquiry |
| CRTAC1-7866H | Recombinant Human CRTAC1 protein, GST-tagged | +Inquiry |
| CRTAC1-2111HF | Recombinant Full Length Human CRTAC1 Protein, GST-tagged | +Inquiry |
| ◆ Cell & Tissue Lysates | ||
| CRTAC1-407HCL | Recombinant Human CRTAC1 cell lysate | +Inquiry |
Not For Human Consumption!
Inquiry
- Reviews (0)
- Q&As (0)
Ask a Question for All CRTAC1 Products
Required fields are marked with *
My Review for All CRTAC1 Products
Required fields are marked with *
