Recombinant Full Length Human NF1 Protein, His tagged
| Cat.No. : | NF1-01HFL |
| Product Overview : | Recombinant Full Length Human neurofibromin (NF1) isoform 2 Protein with N-His tag was expressed in Baculovirus-Insect Cells. |
| Availability | December 24, 2025 |
| Unit | |
| Price | |
| Qty |
- Specification
- Gene Information
- Related Products
- Download
| Species : | Human |
| Source : | Insect Cells |
| Tag : | His |
| Protein Length : | 1-2839 aa |
| Description : | This gene product appears to function as a negative regulator of the ras signal transduction pathway. Mutations in this gene have been linked to neurofibromatosis type 1, juvenile myelomonocytic leukemia and Watson syndrome. The mRNA for this gene is subject to RNA editing (CGA> UGA-> Arg1306Term) resulting in premature translation termination. Alternatively spliced transcript variants encoding different isoforms have also been described for this gene. |
| Molecular Mass : | 320 kDa |
| AASequence : | MHHHHHHHHHHHHWSHPQFEKENLYFQGMAAHRPVEWVQAVVSRFDEQLPIKTGQQNTHTKVSTEHNKECLINISKYKFSLVISGLTTILKNVNNMRIFGEAAEKNLYLSQLIILDTLEKCLAGQPKDTMRLDETMLVKQLLPEICHFLHTCREGNQHAAELRNSASGVLFSLSCNNFNAVFSRISTRLQELTVCSEDNVDVHDIELLQYINVDCAKLKRLLKETAFKFKALKKVAQLAVINSLEKAFWNWVENYPDEFTKLYQIPQTDMAECAEKLFDLVDGFAESTKRKAAVWPLQIILLILCPEIIQDISKDVVDENNMNKKLFLDSLRKALAGHGGSRQLTESAAIACVKLCKASTYINWEDNSVIFLLVQSMVVDLKNLLFNPSKPFSRGSQPADVDLMIDCLVSCFRISPHNNQHFKICLAQNSPSTFHYVLVNSLHRIITNSALDWWPKIDAVYCHSVELRNMFGETLHKAVQGCGAHPAIRMAPSLTFKEKVTSLKFKEKPTDLETRSYKYLLLSMVKLIHADPKLLLCNPRKQGPETQGSTAELITGLVQLVPQSHMPEIAQEAMEALLVLHQLDSIDLWNPDAPVETFWEISSQMLFYICKKLTSHQMLSSTEILKWLREILICRNKFLLKNKQADRSSCHFLLFYGVGCDIPSSGNTSQMSMDHEELLRTPGASLRKGKGNSSMDSAAGCSGTPPICRQAQTKLEVALYMFLWNPDTEAVLVAMSCFRHLCEEADIRCGVDEVSVHNLLPNYNTFMEFASVSNMMSTGRAALQKRVMALLRRIEHPTAGNTEAWEDTHAKWEQATKLILNYPKAKMEDGQAAESLHKTIVKRRMSHVSGGGSIDLSDTDSLQEWINMTGFLCALGGVCLQQRSNSGLATYSPPMGPVSERKGSMISVMSSEGNADTPVSKFMDRLLSLMVCNHEKVGLQIRTNVKDLVGLELSPALYPMLFNKLKNTISKFFDSQGQVLLTDTNTQFVEQTIAIMKNLLDNHTEGSSEHLGQASIETMMLNLVRYVRVLGNMVHAIQIKTKLCQLVEVMMARRDDLSFCQEMKFRNKMVEYLTDWVMGTSNQAADDDVKCLTRDLDQASMEAVVSLLAGLPLQPEEGDGVELMEAKSQLFLKYFTLFMNLLNDCSEVEDESAQTGGRKRGMSRRLASLRHCTVLAMSNLLNANVDSGLMHSIGLGYHKDLQTRATFMEVLTKILQQGTEFDTLAETVLADRFERLVELVTMMGDQGELPIAMALANVVPCSQWDELARVLVTLFDSRHLLYQLLWNMFSKEVELADSMQTLFRGNSLASKIMTFCFKVYGATYLQKLLDPLLRIVITSSDWQHVSFEVDPTRLEPSESLEENQRNLLQMTEKFFHAIISSSSEFPPQLRSVCHCLYQVVSQRFPQNSIGAVGSAMFLRFINPAIVSPYEAGILDKKPPPRIERGLKLMSKILQSIANHVLFTKEEHMRPFNDFVKSNFDAARRFFLDIASDCPTSDAVNHSLSFISDGNVLALHRLLWNNQEKIGQYLSSNRDHKAVGRRPFDKMATLLAYLGPPEHKPVADTHWSSLNLTSSKFEEFMTRHQVHEKEEFKALKTLSIFYQAGTSKAGNPIFYYVARRFKTGQINGDLLIYHVLLTLKPYYAKPYEIVVDLTHTGPSNRFKTDFLSKWFVVFPGFAYDNVSAVYIYNCNSWVREYTKYHERLLTGLKGSKRLVFIDCPGKLAEHIEHEQQKLPAATLALEEDLKVFHNALKLAHKDTKVSIKVGSTAVQVTSAERTKVLGQSVFLNDIYYASEIEEICLVDENQFTLTIANQGTPLTFMHQECEAIVQSIIHIRTRWELSQPDSIPQHTKIRPKDVPGTLLNIALLNLGSSDPSLRSAAYNLLCALTCTFNLKIEGQLLETSGLCIPANNTLFIVSISKTLAANEPHLTLEFLEECISGFSKSSIELKHLCLEYMTPWLSNLVRFCKHNDDAKRQRVTAILDKLITMTINEKQMYPSIQAKIWGSLGQITDLLDVVLDSFIKTSATGGLGSIKAEVMADTAVALASGNVKLVSSKVIGRMCKIIDKTCLSPTPTLEQHLMWDDIAILARYMLMLSFNNSLDVAAHLPYLFHVVTFLVATGPLSLRASTHGLVINIIHSLCTCSQLHFSEETKQVLRLSLTEFSLPKFYLLFGISKVKSAAVIAFRSSYRDRSFSPGSYERETFALTSLETVTEALLEIMEACMRDIPTCKWLDQWTELAQRFAFQYNPSLQPRALVVFGCISKRVSHGQIKQIIRILSKALESCLKGPDTYNSQVLIEATVIALTKLQPLLNKDSPLHKALFWVAVAVLQLDEVNLYSAGTALLEQNLHTLDSLRIFNDKSPEEVFMAIRNPLEWHCKQMDHFVGLNFNSNFNFALVGHLLKGYRHPSPAIVARTVRILHTLLTLVNKHRNCDKFEVNTQSVAYLAALLTVSEEVRSRCSLKHRKSLLLTDISMENVPMDTYPIHHGDPSYRTLKETQPWSSPKGSEGYLAATYPTVGQTSPRARKSMSLDMGQPSQANTKKLLGTRKSFDHLISDTKAPKRQEMESGITTPPKMRRVAETDYEMETQRISSSQQHPHLRKVSVSESNVLLDEEVLTDPKIQALLLTVLATLVKYTTDEFDQRILYEYLAEASVVFPKVFPVVHNLLDSKINTLLSLCQDPNLLNPIHGIVQSVVYHEESPPQYQTSYLQSFGFNGLWRFAGPFSKQTQIPDYAELIVKFLDALIDTYLPGIDEETSEESLLTPTSPYPPALQSQLSITANLNLSNSMTSLATSQHSPGIDKENVELSPTTGHCNSGRTRHGSASQVQKQRSAGSFKRNSIKKIV |
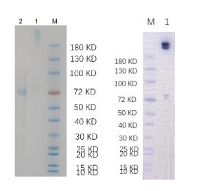
| Purity : | > 85% by SDS-PAGE |
| Storage : | Store it under sterile conditions at -20 to -80 centigrade. It is recommended that the protein be aliquoted for optimal storage. Avoid repeated freeze-thaw cycles. |
| Concentration : | 1.04 mg/mL by Bradford |
| Storage Buffer : | Sterile 50mM Tris, pH 8.0, 200mM NaCl, 2mM MgCl2, 2mM DTT |
| Publications : |
Structural basis of neurofibromin tetramerization and dimer-tetramer equilibrium (2025)
|
| Gene Name | NF1 neurofibromin 1 [ Homo sapiens (human) ] |
| Official Symbol | NF1 |
| Synonyms | NF1; neurofibromin 1; neurofibromin; neurofibromatosis; von Recklinghausen disease; Watson disease; neurofibromatosis-related protein NF-1; WSS; NFNS; VRNF; FLJ21220; DKFZp686J1293 |
| Gene ID | 4763 |
| mRNA Refseq | NM_000267 |
| Protein Refseq | NP_000258 |
| MIM | 613113 |
| UniProt ID | P21359 |
| ◆ Recombinant Proteins | ||
| NF1-643C | Recombinant Chicken NF1 protein, His&Myc-tagged | +Inquiry |
| NF1-334H | Recombinant Human NF1 Protein, His-tagged | +Inquiry |
| NF1-3625R | Recombinant Rat NF1 Protein, His (Fc)-Avi-tagged | +Inquiry |
| NF1-3967R | Recombinant Rat NF1 Protein | +Inquiry |
| NF1-2983H | Recombinant Human NF1 protein(1566-1837aa), His&Myc-tagged | +Inquiry |
Not For Human Consumption!
Inquiry
- Reviews (0)
- Q&As (0)
Ask a Question for All NF1 Products
Required fields are marked with *
My Review for All NF1 Products
Required fields are marked with *
