Recombinant Human IGHMBP2 Protein, His tagged

Cat.No. : IGHMBP2-01H
Product Overview : Recombinant Human IGHMBP2 Protein with His tag was expressed in E. coli.
Availability November 15, 2025
Unit
Price
Qty
  • Specification
  • Gene Information
  • Related Products
  • Download
Species : Human
Source : E.coli
Tag : His
Description : This gene encodes a helicase superfamily member that binds a specific DNA sequence from the immunoglobulin mu chain switch region. Mutations in this gene lead to spinal muscle atrophy with respiratory distress type 1.
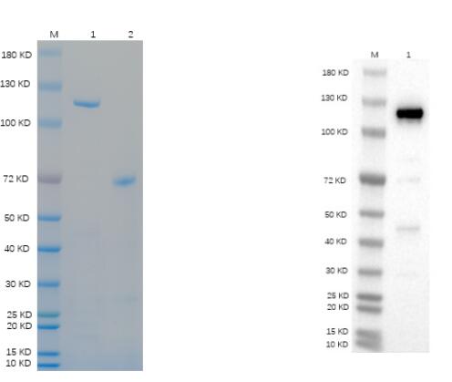
Molecular Mass : The protein has a calculated MW of 110 kDa.
AA Sequence : MASAAVESFVTKQLDLLELERDAEVEERRSWQENISLKELQSRGVCLLKLQVSSQRTGLYGRLLVTFEPRRYGSAAALPSNSFTSGDIVGLYDAANEGSQLATGILTRVTQKSVTVAFDESHDFQLSLDRENSYRLLKLANDVTYRRLKKALIALKKYHSGPASSLIEVLFGRSAPSPASEIHPLTFFNTCLDTSQKEAVLFALSQKELAIIHGPPGTGKTTTVVEIILQAVKQGLKVLCCAPSNIAVDNLVERLALCKQRILRLGHPARLLESIQQHSLDAVLARSDSAQIVADIRKDIDQVFVKNKKTQDKREKSNFRNEIKLLRKELKEREEAAMLESLTSANVVLATNTGASADGPLKLLPESYFDVVVIDECAQALEASCWIPLLKARKCILAGDHKQLPPTTVSHKAALAGLSLSLMERLAEEYGARVVRTLTVQYRMHQAIMRWASDTMYLGQLTAHSSVARHLLRDLPGVAATEETGVPLLLVDTAGCGLFELEEEDEQSKGNPGEVRLVSLHIQALVDAGVPARDIAVVSPYNLQVDLLRQSLVHRHPELEIKSVDGFQGREKEAVILSFVRSNRKGEVGFLAEDRRINVAVTRARRHVAVICDSRTVNNHAFLKTLVEYFTQHGEVRTAFEYLDDIVPENYSHENSQGSSHAATKPQGPATSTRTGSQRQEGGQEAAAPARQGRKKPAGKSLASEAPSQPSLNGGSPEGVESQDGVDHFRAMIVEFMASKKMQLEFPPSLNSHDRLRVHQIAEEHGLRHDSSGEGKRRFITVSKRAPRPRAALGPPAGTGGPAPLQPVPPTPAQTEQPPREQRGPDQPDLRTLHLERLQRVRSAQGQPASKEQQASGQQKLPEKKKKKAKGHPATDLPTEEDFEALVSAAVKADNTCGFAKCTAGVTTLGQFCQLCSRRYCLSHHLPEIHGCGERARAHARQRISREGVLYAGSGTKNGSLDPAKRAQLQRRLDKKLSELSNQRTSRRKERGTLEHHHHHH
Endotoxin : < 1 EU/μg by LAL
Purity : > 90% by SDS-PAGE
Storage : Store it under sterile conditions at -20 to -80 centigrade. It is recommended that the protein be aliquoted for optimal storage. Avoid repeated freeze-thaw cycles.
Concentration : 0.2 mg/mL by BCA
Storage Buffer : Sterile 50 mM Tris, pH7.5, 300 mM NaCl
Gene Name IGHMBP2 immunoglobulin mu binding protein 2 [ Homo sapiens ]
Official Symbol IGHMBP2
Synonyms IGHMBP2; immunoglobulin mu binding protein 2; DNA-binding protein SMUBP-2; cardiac transcription factor 1; CATF1; HCSA; HMN6; SMARD1; SMUBP2; GF-1; glial factor 1; ATP-dependent helicase IGHMBP2; immunoglobulin mu-binding protein 2; FLJ34220; FLJ41171;
Gene ID 3508
mRNA Refseq NM_002180
Protein Refseq NP_002171
MIM 600502
UniProt ID P38935

Not For Human Consumption!

Inquiry

  • Reviews (0)
  • Q&As (0)

Customer Reviews

Write a review

Ask a Question for All IGHMBP2 Products

Required fields are marked with *

My Review for All IGHMBP2 Products

Required fields are marked with *

0
cart-icon
0
compare icon