Recombinant Human MUC16 Protein, His tagged
| Cat.No. : | MUC16-01H |
| Product Overview : | Recombinant Human MUC16 Protein with His-tag was expressed in HEK293. |
| Availability | November 18, 2025 |
| Unit | |
| Price | |
| Qty |
- Specification
- Gene Information
- Related Products
- Download
| Species : | Human |
| Source : | HEK293 |
| Tag : | His |
| Description : | This gene encodes a protein that is a member of the mucin family. Mucins are high molecular weight, O-glycosylated proteins that play an important role in forming a protective mucous barrier, and are found on the apical surfaces of the epithelia. The encoded protein is a membrane-tethered mucin that contains an extracellular domain at its amino terminus, a large tandem repeat domain, and a transmembrane domain with a short cytoplasmic domain. The amino terminus is highly glycosylated, while the repeat region contains 156 amino acid repeats unit that are rich in serines, threonines, and prolines. Interspersed within the repeats are Sea urchin sperm protein Enterokinase and Agrin (SEA) modules, leucine-rich repeats and ankyrin (ANK) repeats. These regions together form the ectodomain, and there is a potential cleavage site found near an SEA module close to the transmembrane domain. This protein is thought to play a role in forming a barrier, protecting epithelial cells from pathogens. Products of this gene have been used as a marker for different cancers, with higher expression levels associated with poorer outcomes. |
| Molecular Mass : | ~ 75 kDa |
| AA Sequence : | MEKIPVSAFLLLVALSYTLAHHHHHHPGSRKFNTTERVLQGLLRPLFKNTSVGPLYSGCRLTLLRPEKDGEATGVDAICTHRPDPTGPGLDREQLYLELSQLTHSITELGPYTLDRDSLYVNGFTHRSSVPTTSTGVVSEEPFTLNFTINNLRYMADMGQPGSLKFNITDNVMQHLLSPLFQRSSLGARYTGCRVIALRSVKNGAETRVDLLCTYLQPLSGPGLPIKQVFHELSQQTHGITRLGPYSLDKDSLYLNGYNEPGPDEPPTTPKPATTFLPPLSEATTAMGYHLKTLTLNFTISNLQYSPDMGKGSATFNSTEGVLQHLLRPLFQKSSMGPFYLGCQLISLRPEKDGAATGVDTTCTYHPDPVGPGLDIQQLYWELSQLTHGVTQLGFYVLDRDSLFINGYAPQNLSIRGEYQINFHIVNWNLSNPDPTSSEYITLLRDIQDKVTTLYKGSQLHDTFRFCLVTNLTMDSVLVTVKALFSSNLDPSLVEQVFLDKTLNASFHWLGSTYQLVDIHVTEMESSVYQPTSSSSTQHFYLNFTITNLPYSQDKAQPGTTNYQRNKRNIEDALNQLFRNSSIKSYFSDCQVSTFRSVPNRHHTGVDSLCNFSPLARRVDRVAIYEEFLRMTRNGTQLQNFTLDRSSVLVDGYSPNRNEPLTGNSDLP |
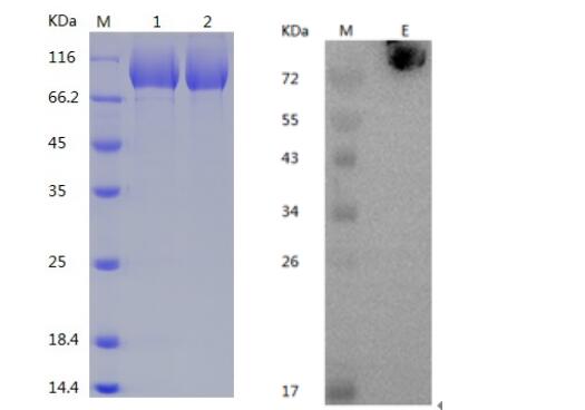
| Purity : | ≥90% SDS-PAGE |
| Storage : | Long Term Storage at -20 to -80 centigrade. Avoid freeze/thaw cycles. |
| Concentration : | 0.55 mg/mL |
| Storage Buffer : | PBS, pH 7.4 |
| Gene Name | MUC16 mucin 16, cell surface associated [ Homo sapiens (human) ] |
| Official Symbol | MUC16 |
| Synonyms | MUC16; mucin 16, cell surface associated; mucin-16; CA125; FLJ14303; CA-125; MUC-16; CA125 ovarian cancer antigen; ovarian carcinoma antigen CA125; ovarian cancer-related tumor marker CA125; |
| Gene ID | 94025 |
| mRNA Refseq | NM_024690 |
| Protein Refseq | NP_078966 |
| MIM | 606154 |
| UniProt ID | Q8WXI7 |
| ◆ Recombinant Proteins | ||
| Muc16-128M | Recombinant Mouse Muc16 Protein, His-tagged | +Inquiry |
| MUC16-2975R | Active Recombinant Rhesus macaque MUC16 protein, His-tagged | +Inquiry |
| MUC16-2977R | Active Recombinant Rhesus macaque MUC16 protein, His-tagged | +Inquiry |
| MUC16-1245H | Recombinant Human MUC16 protein, His-tagged | +Inquiry |
| MUC16-2979H | Active Recombinant Human MUC16 protein, Fc-Avi-tagged, Biotinylated | +Inquiry |
| ◆ Native Proteins | ||
| MUC16-1H | Native Human MUC16 protein | +Inquiry |
| CDA002 | Active Native Human MUC16 Protein | +Inquiry |
Not For Human Consumption!
Inquiry
- Reviews (0)
- Q&As (0)
Ask a Question for All MUC16 Products
Required fields are marked with *
My Review for All MUC16 Products
Required fields are marked with *
