Recombinant Human Phosphoenolpyruvate Carboxykinase 1, His-tagged
Cat.No. : | PCK1-1372H |
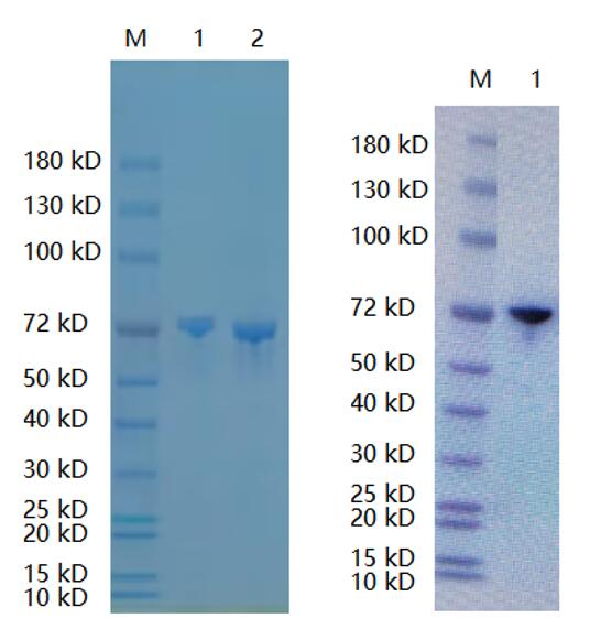
Product Overview : | Recombinanthuman PCK1protein, fused to His-tag at N-terminus, was expressed in E.coli andpurified by using conventional chromatography techniques. |
- Specification
- Gene Information
- Related Products
- Download
Species : | Human |
Source : | E.coli |
Tag : | His |
Description : | PCK1 is a maincontrol point for the regulation of gluconeogenesis. PCK1 plays an importantrole in this process by stimulating hepatic glucose production. Theexpression of PCK1 can be regulated by insulin, glucocorticoids, glucagon,cAMP, and diet. Modulation of the signals governing PCK1 levels presents apotential therapeutic approach to the treatment of Insulin resistance andconsequently obesity. |
Form : | Liquid. In 20 mMTris-HCl buffer (pH 8.0) containing 1 mM DTT, 10% glycerol, 0.1M NaCl. |
Molecular Weight : | 71.7 kDa(646 aa) |
Purity : | > 90%by SDS-PAGE |
Concentration : | 0.5 mg/ml(determined by Bradford assay) |
Sequences of aminoacids : | MGSSHHHHHHSSGLVPRGSH MGSHMPPQLQ NGLNLSAKVV QGSLDSLPQA VREFLENNAE LCQPDHIHICDGSEEENGRL LGQMEEEGIL RRLKKYDNCW LALTDPRDVA RIESKTVIVTQEQRDTVPIP KTGLSQLGRW MSEEDFEKAF NARFPGCMKG RTMYVIPFSM GPLGSPLSKI GIELTDSPYVVASMRIMTRM GTPVLEALGD GEFVKCLHSV GCPLPLQKPL VNNWPCNPEL TLIAHLPDRR EIISFGSGYGGNSLLGKKCFALRMASRLAKEEGWLAEHML VLGITNPEGE KKYLAAAFPS ACGKTNLAMM NPSLPGWKVE CVGDDIAWMK FDAQGHLRAINPENGFFGVA PGTSVKTNPN AIKTIQKNTI FTNVAETSDG GVYWEGIDEP LASGVTITSW KNKEWSSEDGEPCAHPNSRF CTPASQCPII DAAWESPEGV PIEGIIFGGRRPAGVPLVYE ALSWQHGVFV GAAMRSEATA AAEHKGKIIM HDPFAMRPFF GYNFGKYLAH WLSMAQHPAAKLPKIFHVNW FRKDKEGKFL WPGFGENSRV LEWMFNRIDG KASTKLTPIG YIPKEDALNL KGLGHINMMELFSISKEFWE KEVEDIEKYL EDQVNADLPC EIEREILALK QRISQM |
Storage : | Can bestored at +4°C short term (1-2 weeks). For long term storage, aliquot andstore at -20°C or -70°C. Avoid repeated freezing and thawing cycles. |
Pathways : | Adipocytokine signalingpathway; Adipogenesis;Citrate cycle (TCA cycle); Diabetes pathways; FOXA2 and FOXA3 transcription factor networks;Gluconeogenesis; Glucose metabolism; Glycolysis/Gluconeogenesis; Insulinsignaling pathway; Metabolic pathways; PPAR signaling pathway; Proximaltubule bicarbonate reclamation; Pyruvate metabolism; TranscriptionalRegulation of White Adipocyte Differentiation |
Gene Name | PCK1 phosphoenolpyruvatecarboxykinase 1 (soluble) [ Homo sapiens ] |
Official Symbol | PCK1 |
Synonyms | PCK1; phosphoenolpyruvatecarboxykinase 1; PEPCK1; PEPCKC; PEPCK-C; MGC22652; phosphoenolpyruvatecarboxykinase, cytosolic [GTP]; PEP carboxykinase; OTTHUMP00000031374;phosphopyruvate carboxylase; phosphoenolpyruvate carboxylase;phosphoenolpyruvate carboxykinase, cytosolic; EC 4.1.1.32 |
Gene ID | 5105 |
mRNA Refseq | NM_002591 |
Protein Refseq | NP_002582 |
MIM | 261680 |
UniProt ID | P35558 |
Chromosome Location | 20q13.31 |
Function | GDP binding; GTP binding;Carboxylic acid binding; Iyase activity; Magnesium ion binding; Manganese ionbinding; Phosphoenolpyruvate carboxykinase (GTP) activity;Phosphoenolpyruvate carboxykinase (GTP) activity; Purine nucleotide binding |
◆ Recombinant Proteins | ||
PCK1-12773Z | Recombinant Zebrafish PCK1 | +Inquiry |
Pck1-5639M | Recombinant Mouse Pck1 protein, His & T7-tagged | +Inquiry |
PCK1-4299R | Recombinant Rat PCK1 Protein | +Inquiry |
Pck1-4712M | Recombinant Mouse Pck1 Protein, Myc/DDK-tagged | +Inquiry |
PCK1-1576H | Recombinant Human PCK1, His-tagged | +Inquiry |
◆ Cell & Tissue Lysates | ||
PCK1-3379HCL | Recombinant Human PCK1 293 Cell Lysate | +Inquiry |
Not For Human Consumption!
Inquiry
- Reviews (0)
- Q&As (0)
Ask a Question for All PCK1 Products
Required fields are marked with *
My Review for All PCK1 Products
Required fields are marked with *