Recombinant Human SIRT7 Protein, His-tagged
| Cat.No. : | SIRT7-120H |
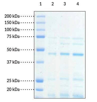
| Product Overview : | Recombinant N-terminal hexahistidine-tagged full length human SIRT7 protein (2-400) was expressed in E. coli. |
- Specification
- Gene Information
- Related Products
- Download
| Species : | Human |
| Source : | E.coli |
| Tag : | His |
| Protein Length : | 2-400 |
| Description : | This gene encodes a member of the sirtuin family of proteins, homologs to the yeast Sir2 protein. Members of the sirtuin family are characterized by a sirtuin core domain and grouped into four classes. The functions of human sirtuins have not yet been determined; however, yeast sirtuin proteins are known to regulate epigenetic gene silencing and suppress recombination of rDNA. Studies suggest that the human sirtuins may function as intracellular regulatory proteins with mono-ADP-ribosyltransferase activity. The protein encoded by this gene is included in class IV of the sirtuin family. |
| Molecular Mass : | 49.3 kDa |
| Purity : | ≥35% estimated by SDS-PAGE |
| Stability : | ≥ 1 year |
| Storage : | At -80 centigrade. |
| Storage Buffer : | 50 mM NaPO4, pH 7.2, with 100 mM NaCl and 20% glycerol |
| Gene Name | SIRT7 sirtuin 7 [ Homo sapiens (human) ] |
| Official Symbol | SIRT7 |
| Synonyms | SIRT7; sirtuin 7; SIR2L7; NAD-dependent protein deacetylase sirtuin-7; NAD-dependent deacetylase sirtuin-7; NAD-dependent protein deacylase sirtuin-7; SIR2-like protein 7; regulatory protein SIR2 homolog 7; silent mating type information regulation 2, S.cerevisiae, homolog 7; sir2-related protein type 7; sirtuin type 7; EC 2.3.1.286 |
| Gene ID | 51547 |
| mRNA Refseq | NM_016538 |
| Protein Refseq | NP_057622 |
| MIM | 606212 |
| UniProt ID | Q9NRC8 |
| ◆ Recombinant Proteins | ||
| SIRT7-2016H | Recombinant Human SIRT7 Protein, His (Fc)-Avi-tagged | +Inquiry |
| SIRT7-30867TH | Recombinant Human SIRT7, His-tagged | +Inquiry |
| SIRT7-585H | Recombinant Human SIRT7, His-tagged | +Inquiry |
| SIRT7-641HFL | Active Recombinant Full Length Human SIRT7 Protein, C-Flag-tagged | +Inquiry |
| SIRT7-30848TH | Recombinant Human SIRT7, T7 -tagged | +Inquiry |
| ◆ Cell & Tissue Lysates | ||
| SIRT7-1828HCL | Recombinant Human SIRT7 293 Cell Lysate | +Inquiry |
Not For Human Consumption!
Inquiry
- Reviews (0)
- Q&As (0)
Ask a Question for All SIRT7 Products
Required fields are marked with *
My Review for All SIRT7 Products
Required fields are marked with *
