Recombinant Human SRP68 protein, His tagged

Cat.No. : SRP68-01H
  • Specification
  • Gene Information
  • Related Products
  • Download
Species : Human
Source : E.coli
Tag : His
Protein Length : 15-457 aa
Description : This gene encodes a subunit of the signal recognition particle (SRP). The SRP is a ribonucleoprotein complex that transports secreted and membrane proteins to the endoplasmic reticulum for processing. The complex includes a 7S RNA and six protein subunits. The encoded protein is the 68kDa component of the SRP, and forms a heterodimer with the 72kDa subunit that is required for SRP function. Alternatively spliced transcript variants encoding multiple isoforms have been observed for this gene, and three pseudogenes of this gene are located within the Smith-Magenis syndrome region on chromosome 17.
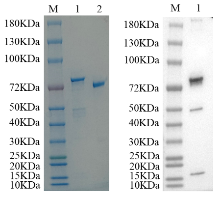
Molecular Mass : 72 kDa
AA Sequence : MAAEKQVPGGGGGGGSGGGGGSGGGGSGGGRGAGGEENKENERPSAGSKANKEFGDSLSLEILQIIKESQQQHGLRHGDFQRYRGYCSRRQRRLRKTLNFKMGNRHKFTGKKVTEELLTDNRYLLLVLMDAERAWSYAMQLKQEANTEPRKRFHLLSRLRKAVKHAEELERLCESNRVDAKTKLEAQAYTAYLSGMLRFEHQEWKAAIEAFNKCKTIYEKLASAFTEEQAVLYNQRVEEISPNIRYCAYNIGDQSAINELMQMRLRSGGTEGLLAEKLEALITQTRAKQAATMSEVEWRGRTVPVKIDKVRIFLLGLADNEAAIVQAESEETKERLFESMLSECRDAIQVVREELKPDQKQRDYILEGEPGKVSNLQYLHSYLTYIKLSTAIKRNENMAKGLQRALLQQQPEDDSKRSPRPQDLIRLYDIILQNLVELLQLPGLEEDKAFQKEIGLKTLVFKAYRCFFIAQSYVLVKKWSEALVLYDRVLKYANEVNSDAGAFKNSLKDLPDVQELITQVRSEKCSLQAAAILDANDAHQTETSSSQVKDNKPLVERFETFCLDPSLVTKQANLVHFPPGFQPIPCKPLFFDLALNHVAFPPLEDKLEQKTKSGLTGYIKGIFGFRSHHHHHHHH
Endotoxin : < 1 EU/μg by LAL
Purity : > 90% by SDS-PAGE
Storage : Store it under sterile conditions at -20 to -80 centigrade. It is recommended that the protein be aliquoted for optimal storage. Avoid repeated freeze-thaw cycles.
Storage Buffer : Sterile PBS, pH7.4, 0.1% SKL
Concentration : 0.94 mg/mL by BCA
Gene Name SRP68 signal recognition particle 68 [ Homo sapiens (human) ]
Official Symbol SRP68
Synonyms SRP68; signal recognition particle 68kDa; signal recognition particle 68kD; signal recognition particle 68 kDa protein
Gene ID 6730
mRNA Refseq NM_014230
Protein Refseq NP_055045
MIM 604858
UniProt ID Q9UHB9

Not For Human Consumption!

Inquiry

  • Reviews (0)
  • Q&As (0)

Customer Reviews

Write a review

Ask a Question for All SRP68 Products

Required fields are marked with *

My Review for All SRP68 Products

Required fields are marked with *

0
cart-icon
0
compare icon