Recombinant Human TRAP1, His-tagged
| Cat.No. : | TRAP1-2862H | 
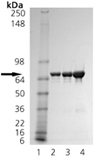
| Product Overview : | Recombinant Human TRAP1(aa 60-704), fused at the N-terminus to a His-tag, was expressed in E. coli. | 
- Specification
- Gene Information
- Related Products
- Download
| Species : | Human | 
| Source : | E.coli | 
| Tag : | His | 
| Protein Length : | 60-704 a.a. | 
| Description : | This gene encodes a mitochondrial chaperone protein that is member of the heat shock protein 90 (HSP90) family. The encoded protein has ATPase activity and interacts with tumor necrosis factor type I. This protein may function in regulating cellular stress responses. Alternate splicing results in multiple transcript variants. | 
| Form : | Liquid. In 50mM TRIS, pH 7.5, containing 150mM sodium chloride, 1mM DTT, and 1mM EDTA. | 
| Molecular Mass : | ~72kDa | 
| Endotoxin : | <50EU/mg purified protein (LAL test) | 
| Purity : | ≥95% (SDS-PAGE; Western blot) | 
| Storage : | Store at -80°C | 
| Gene Name | TRAP1 TNF receptor-associated protein 1 [ Homo sapiens (human) ] | 
| Official Symbol | TRAP1 | 
| Synonyms | TRAP1; TNF receptor-associated protein 1; heat shock protein 75 kDa, mitochondrial; HSP75; HSP90L; HSP 75; TRAP-1; TNFR-associated protein 1; tumor necrosis factor type 1 receptor associated protein; tumor necrosis factor type 1 receptor-associated protein | 
| Gene ID | 10131 | 
| mRNA Refseq | NM_016292 | 
| Protein Refseq | NP_057376 | 
| MIM | 606219 | 
| UniProt ID | Q12931 | 
| Chromosome Location | 16p13.3 | 
| Pathway | TGF-beta Receptor Signaling Pathway | 
| Function | ATP binding; poly(A) RNA binding; protein binding; protein kinase binding | 
| ◆ Recombinant Proteins | ||
| TRAP1-17301M | Recombinant Mouse TRAP1 Protein | +Inquiry | 
| TRAP1-2862H | Recombinant Human TRAP1, His-tagged | +Inquiry | 
| Trap1-6374M | Recombinant Mouse Trap1 Protein (Ser61-His706), N-His tagged | +Inquiry | 
| Trap1-454M | Recombinant Mouse Trap1 protein, His-tagged | +Inquiry | 
| TRAP1-5201H | Recombinant Human TRAP1 protein, GST-tagged | +Inquiry | 
| ◆ Cell & Tissue Lysates | ||
| TRAP1-811HCL | Recombinant Human TRAP1 293 Cell Lysate | +Inquiry | 
Not For Human Consumption!
Inquiry
- Reviews (0)
- Q&As (0)
Ask a Question for All TRAP1 Products
Required fields are marked with *
My Review for All TRAP1 Products
Required fields are marked with *
 
  
        
    
       
                         
                             
            