Active Recombinant Mouse Lgals6 protein, His-tagged
| Cat.No. : | Lgals6-447M |
| Product Overview : | Active Recombinant Mouse Lgals6 protein(O54891)(1~301 aa), fused with N-terminal His tag, was expressed in E.coli. |
- Specification
- Gene Information
- Related Products
- Download
| Species : | Mouse |
| Source : | E.coli |
| Tag : | His |
| Protein Length : | 1-301 aa |
| Form : | Lyophilized from sterile PBS, pH7.4, containing 0.01% SKL, 1mM DTT, 5% Trehalose and Proclin300. |
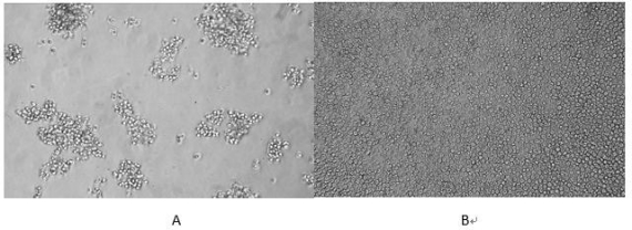
| Bio-activity : | Galectin-6(GAL6) is a protein that in humans is encoded by the LGALS6 gene. The galectins constitute a large family of carbohydrate-binding proteins with specificity for N-acetyl-lactosamine-containing glycoproteins. At least 14 mammalian galectins, which share structural similarities in their carbohydrate recognition domains (CRD), have been identified. Galectin-6 may also be involved in cell-cell and cell-matrix interactions and exogenous galectin has been found to accelerate the re-epithelialization of wounds. It can agglutinate red blood. In this case, we chose rabbit erythrocyte (RaE) to assay its ability of agglutination. A general procedure for hemagglutination assay (or haemagglutination assay; HA) is as follows, two-fold dilute the recombinant Mu GAL6 with 0.9% sodium chloride injection, add 50μL a serial dilution of GAL6 to each well of a U or V-bottom shaped 96-well microtiter plate. The final well serves as a negative control with no GAL6, replace with 50μL 0.9% sodium chloride injection. Then add 50μL 1% rabbit erythrocyte to each well and mixed gently. The plate is incubated for 3 hours at room temperature. The results are shown. It was obvious that the minimal effective concentration of GAL6 is 3.125 μg/mL. |
| Molecular Mass : | 37.8kDa |
| Endotoxin : | <1.0EU per 1μg (determined by the LAL method). |
| Purity : | > 97% as determined by SDS-PAGE. |
| Storage : | Avoid repeated freeze/thaw cycles. Store at -20°C for 12 months. Aliquot and store at -80°C for 12 months. |
| Reconstitution : | Reconstitute in 10mM PBS (pH7.4) to a concentration of 0.1-1.0 mg/mL. Do not vortex. |
| ◆ Recombinant Proteins | ||
| Lgals6-3169M | Recombinant Mouse Lgals6 protein, GST-tagged | +Inquiry |
| LGALS6-5057M | Recombinant Mouse LGALS6 Protein, His (Fc)-Avi-tagged | +Inquiry |
| Lgals6-447M | Active Recombinant Mouse Lgals6 protein, His-tagged | +Inquiry |
| LGALS6-9065M | Recombinant Mouse LGALS6 Protein | +Inquiry |
Not For Human Consumption!
Inquiry
- Reviews (0)
- Q&As (0)
Ask a Question for All Lgals6 Products
Required fields are marked with *
My Review for All Lgals6 Products
Required fields are marked with *
