Active Recombinant Human CD46 Protein, Fc-tagged
| Cat.No. : | CD46-3963H |
| Product Overview : | Recombinant Human CD46 Protein(Cys35-Asp328) with a human IgG1 (Pro100-Lys330) Fc tag at C-terminus was expressed in Chinese Hamster Ovary cell line. |
- Specification
- Gene Information
- Related Products
- Download
| Species : | Human |
| Source : | CHO |
| Tag : | Fc |
| Protein Length : | 35-328 |
| Description : | The protein encoded by this gene is a type I membrane protein and is a regulatory part of the complement system. The encoded protein has cofactor activity for inactivation of complement components C3b and C4b by serum factor I, which protects the host cell from damage by complement. In addition, the encoded protein can act as a receptor for the Edmonston strain of measles virus, human herpesvirus-6, and type IV pili of pathogenic Neisseria. Finally, the protein encoded by this gene may be involved in the fusion of the spermatozoa with the oocyte during fertilization. Mutations at this locus have been associated with susceptibility to hemolytic uremic syndrome. Alternatively spliced transcript variants encoding different isoforms have been described. |
| Form : | Disulfide-linked homodimer |
| Bio-activity : | Measured by its binding ability in a functional ELISA. When Recombinant Human CD46 Fc Chimera is immobilized at 5 μg/mL (100 μL/well), the concentration of Human C4b that produces 50% of the optimal binding response is 2-12 μg/mL. |
| Molecular Mass : | 59 kDa |
| N-terminal Sequence Analysis : | Cys35 |
| Endotoxin : | <0.10 EU/μg of the protein by the LAL method. |
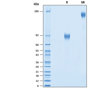
| Purity : | > 95%, by SDS-PAGE visualized with Silver Staining and quantitative densitometry by Coomassie® Blue Staining. |
| Storage : | Use a manual defrost freezer and avoid repeated freeze-thaw cycles. 12 months from date of receipt, -20 to -70 centigrade as supplied. 1 month, 2 to 8 centigrade under sterile conditions after reconstitution. 3 months, -20 to -70 centigrade under sterile conditions after reconstitution. |
| Storage Buffer : | Lyophilized from a 0.2 μm filtered solution in PBS. |
| Reconstitution : | Reconstitute at 500 μg/mL in PBS. |
| Shipping : | The product is shipped at ambient temperature. |
| Gene Name | CD46 CD46 molecule [ Homo sapiens (human) ] |
| Official Symbol | CD46 |
| Synonyms | CD46; CD46 molecule; MCP; TLX; AHUS2; MIC10; TRA2.10; membrane cofactor protein; CD46 antigen, complement regulatory protein; CD46 molecule, complement regulatory protein; antigen identified by monoclonal antibody TRA-2-10; complement membrane cofactor protein; measles virus receptor; membrane cofactor protein (CD46, trophoblast-lymphocyte cross-reactive antigen); trophoblast leucocyte common antigen; trophoblast leukocyte common antigen; trophoblast-lymphocyte cross-reactive antigen |
| Gene ID | 4179 |
| mRNA Refseq | NM_172361 |
| Protein Refseq | NP_758871 |
| MIM | 120920 |
| UniProt ID | P15529 |
| ◆ Recombinant Proteins | ||
| CD46-4521H | Recombinant Human CD46 Protein (Met1-Asp328), C-His tagged | +Inquiry |
| RFL6707MF | Recombinant Full Length Mouse Membrane Cofactor Protein(Cd46) Protein, His-Tagged | +Inquiry |
| CD46-1463M | Recombinant Mouse CD46 Protein, His (Fc)-Avi-tagged | +Inquiry |
| CD46-162H | Recombinant Human CD46 Protein, His-tagged | +Inquiry |
| CD46-7592H | Recombinant Human CD46, His-tagged | +Inquiry |
| ◆ Cell & Tissue Lysates | ||
| CD46-475HKCL | Human CD46 Knockdown Cell Lysate | +Inquiry |
| CD46-1964HCL | Recombinant Human CD46 cell lysate | +Inquiry |
Not For Human Consumption!
Inquiry
- Reviews (0)
- Q&As (0)
Ask a Question for All CD46 Products
Required fields are marked with *
My Review for All CD46 Products
Required fields are marked with *
