Recombinant Active Human FGFR2 (N549K) Protein (285-end), N-GST-tagged
| Cat.No. : | FGFR2-34H |
| Product Overview : | Recombinant human FGFR2 (N549K) (285-end) was expressed by baculovirus in Sf9 cells using an N-terminal GST tag. |
- Specification
- Gene Information
- Related Products
- Download
| Species : | Human |
| Source : | Sf9 Cells |
| Tag : | GST |
| Protein Length : | 285-end |
| Description : | FGFR2 is a member of the fibroblast growth factor receptor family which play a role in mitogenesis and differentiation. FGFR2 is a high-affinity receptor for acidic, basic and/or keratinocyte growth factor, and mutations in FGFR2 are associated with Crouzon syndrome, Pfeiffer syndrome, Craniosynostosis, Apert syndrome, Jackson-Weiss syndrome, Saethre-Chotzen syndrome, and syndromic craniosynostosis. FGFR2 is required for early postimplantation development between implantation and the formation of the egg cylinder. FGFR2 contributes to the outgrowth, differentiation, and maintenance of the inner cell mass. |
| Bio-activity : | The specific activity of FGFR2 (N549K) was determined to be 28 nmol/min/mg as per actity assay protocol. |
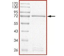
| Molecular Mass : | Observed MW: ~72 kDa. Calculated MW: ~73 kDa. |
| Purity : | The purity of FGFR2 (N549K) was determined to be > 90 % by densitometry. |
| Stability : | One year at -70 centigrade from date of shipment. |
| Storage : | Store product at -70 centigrade. For optimal storage, aliquot target into smaller quantities after centrifugation and store at recommended temperature. For most favorable performance, avoid repeated handling and multiple freeze/thaw cycles. |
| Concentration : | 0.1 μg/μL |
| Storage Buffer : | Recombinant protein stored in 50mM Tris-HCl, pH 7.5, 150mM NaCl, 10mM glutathione, 0.1mM EDTA, 0.25mM DTT, 25% glycerol. |
| Shipping : | Dry ice |
| Gene Name | FGFR2 fibroblast growth factor receptor 2 [ Homo sapiens (human) ] |
| Official Symbol | FGFR2 |
| Synonyms | FGFR2; fibroblast growth factor receptor 2; bacteria expressed kinase, BEK, CFD1, craniofacial dysostosis 1, Jackson Weiss syndrome, JWS, keratinocyte growth factor receptor, KGFR; CD332; CEK3; Crouzon syndrome; ECT1; K SAM; Pfeiffer syndrome; TK14; TK25; FGFR-2; FGF receptor; soluble FGFR4 variant 4; bacteria-expressed kinase; hydroxyaryl-protein kinase; keratinocyte growth factor receptor; BEK fibroblast growth factor receptor; protein tyrosine kinase, receptor like 14; BEK; JWS; CFD1; KGFR; BFR-1; K-SAM; FLJ98662; |
| Gene ID | 2263 |
| mRNA Refseq | NM_000141 |
| Protein Refseq | NP_000132 |
| MIM | 176943 |
| UniProt ID | P21802 |
| ◆ Recombinant Proteins | ||
| FGFR2-1753R | Recombinant Rhesus Monkey FGFR2 Protein, hIgG1-tagged | +Inquiry |
| FGFR2-777HF | Recombinant Human FGFR2 Protein, Fc-tagged, FITC conjugated | +Inquiry |
| Fgfr2-501MAF488 | Recombinant Mouse Fgfr2 Protein, Fc-tagged, Alexa Fluor 488 conjugated | +Inquiry |
| FGFR2-2593H | Active Recombinant Human FGFR2 protein | +Inquiry |
| FGFR2-412C | Recombinant Cynomolgus FGFR2 protein, His-tagged | +Inquiry |
| ◆ Native Proteins | ||
| FGFR2-39H | Active Recombinant Human FGFR2 Homodimer Protein, His&Avi tagged | +Inquiry |
| ◆ Cell & Tissue Lysates | ||
| FGFR2-001MCL | Recombinant Mouse FGFR2 cell lysate | +Inquiry |
| FGFR2-428HCL | Recombinant Human FGFR2 cell lysate | +Inquiry |
| FGFR2-2578HCL | Recombinant Human FGFR2 cell lysate | +Inquiry |
Not For Human Consumption!
Inquiry
- Reviews (0)
- Q&As (0)
Ask a Question for All FGFR2 Products
Required fields are marked with *
My Review for All FGFR2 Products
Required fields are marked with *
