Recombinant Human calreticulin Protein, His-tagged
| Cat.No. : | CALR-001H |
| Product Overview : | Recombinant Human CALR Protein (18-180aa) with C-His-tag was expressed E. coli. |
| Availability | November 19, 2025 |
| Unit | |
| Price | |
| Qty |
- Specification
- Gene Information
- Related Products
- Download
| Species : | Human |
| Source : | E.coli |
| Tag : | His |
| Protein Length : | 18-180aa |
| Description : | Calreticulin is a highly conserved chaperone protein which resides primarily in the endoplasmic reticulum, and is involved in a variety of cellular processes, among them, cell adhesion. Additionally, it functions in protein folding quality control and calcium homeostasis. Calreticulin is also found in the nucleus, suggesting that it may have a role in transcription regulation. Systemic lupus erythematosus is associated with increased autoantibody titers against calreticulin. Recurrent mutations in calreticulin have been linked to various neoplasms, including the myeloproliferative type. |
| Tag : | C-His |
| Molecular Mass : | 20 kDa |
| AA Sequence : | MEPAVYFKEQFLDGDGWTSRWIESKHKSDFGKFVLSSGKFYGDEEKDKGLQTSQDARFYALSASFEPFSNKGQTLVVQFTVKHEQNIDCGGGYVKLFPNSLDQTDMHGDSEYNIMFGPDICGPGTKKVHVIFNYKGKNVLINKDIRCKDDEFTHLYTLIVRPDNHHHHHHHH |
| Endotoxin : | < 1 EU/μg by LAL. |
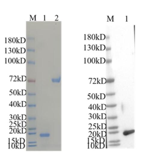
| Purity : | > 90 % by SDS-PAGE |
| Storage : | Store it under sterile conditions at -20 to -80 centigrade. It is recommended that the protein be aliquoted for optimal storage. Avoid repeated freeze-thaw cycles. |
| Concentration : | 1 mg/mL by BCA |
| Storage Buffer : | Sterile PBS, pH 7.4, 8 % Trehalose, 10 % Glycerol |
| Gene Name | CALR calreticulin [Homo sapiens (human)] |
| Official Symbol | CALR |
| Synonyms | CALR; calreticulin; autoantigen Ro; cC1qR; CRT; FLJ26680; RO; Sicca syndrome antigen A (autoantigen Ro; calreticulin); SSA; CRP55; ERp60; HACBP; grp60; calregulin; endoplasmic reticulum resident protein 60; Sicca syndrome antigen A (autoantigen Ro; calreticulin) |
| Gene ID | 811 |
| mRNA Refseq | NM_004343 |
| Protein Refseq | NP_004334 |
| MIM | 109091 |
| UniProt ID | P27797 |
| ◆ Recombinant Proteins | ||
| CALR-761R | Recombinant Rat CALR Protein, His (Fc)-Avi-tagged | +Inquiry |
| CALR-27213TH | Recombinant Human CALR | +Inquiry |
| Calr-1185M | Recombinant Mouse Calreticulin | +Inquiry |
| CALR-2368H | Recombinant Human Calreticulin, 18-417 aa, His-tagged | +Inquiry |
| CALR-2764H | Recombinant Human CALR Protein, Myc/DDK-tagged, C13 and N15-labeled | +Inquiry |
| ◆ Cell & Tissue Lysates | ||
| CALR-1222HCL | Recombinant Human CALR cell lysate | +Inquiry |
| CALR-080HKCL | Human CALR Knockdown Cell Lysate | +Inquiry |
Not For Human Consumption!
Inquiry
- Reviews (0)
- Q&As (0)
Ask a Question for All CALR Products
Required fields are marked with *
My Review for All CALR Products
Required fields are marked with *
