Recombinant Human CLCN1 cell lysate, Myc/DDK-tagged
| Cat.No. : | CLCN1-01HCL |
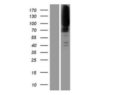
| Product Overview : | Transient overexpression lysate of chloride channel 1, skeletal muscle (CLCN1) with a C-Myc/DDK tag was expressed HEK293T. Components: 1 vial of 100 μg gene specific transient over-expression cell lysate in RIPA buffer 1 vial of 100 μg empty vector transfected control cell lysate in RIPA buffer 1 vial of 250 μL 2×SDS Sample Buffer (4% SDS, 125mM Tris-HCl pH6.8, 10% Glycerol, 0.002% Bromphenol blue, 100mM DTT) Preparation: HEK293T cells in 10-cm dishes were transiently transfected with MegaTran Transfection Reagent and 5 μg TrueORF cDNA plasmid. Transfected cells were cultured for 48hrs before collection. The cells were lysed in modified RIPA buffer (25mM Tris-HCl pH7.6, 150mM NaCl, 1% NP-40, 1mM EDTA, 1xProteinase inhibitor cocktail mix (Sigma), 1mM PMSF and 1mM Na3VO4), and then centrifuged to clarify the lysate. Protein concentration was measured by BCA kit. Cell lysates were aliquoted and stored at -20 centigrade before shipping. |
- Specification
- Gene Information
- Related Products
- Download
| Species : | Human |
| Source : | HEK293 |
| Tag : | DDK&Myc |
| Description : | The CLCN family of voltage-dependent chloride channel genes comprises nine members (CLCN1-7, Ka and Kb) which demonstrate quite diverse functional characteristics while sharing significant sequence homology. The protein encoded by this gene regulates the electric excitability of the skeletal muscle membrane. Mutations in this gene cause two forms of inherited human muscle disorders: recessive generalized myotonia congenita (Becker) and dominant myotonia (Thomsen). Alternative splicing results in multiple transcript variants. |
| Molecular Mass : | 108.6 kDa |
| Stability : | Lysate samples are stable for 12 months from the date of receipt when stored at -80 centigrade. |
| Storage : | Upon receiving, store the sample at -80 centigrade. Also after dilution, the protein sample should be aliquoted and stored at -80 centigrade for long term storage. Avoid repeated freeze-thaw cycles. |
| Storage Buffer : | Lysate samples can be diluted with 2×SDS Sample Buffer provided. |
| Shipping : | Dry ice |
| Gene Name | CLCN1 chloride voltage-gated channel 1 [ Homo sapiens (human) ] |
| Official Symbol | CLCN1 |
| Synonyms | CLCN1; chloride voltage-gated channel 1; CLC1; chloride channel protein 1; chloride channel 1, skeletal muscle; chloride channel protein, skeletal muscle; chloride channel, voltage-sensitive 1; clC-1 |
| Gene ID | 1180 |
| mRNA Refseq | NM_000083 |
| Protein Refseq | NP_000074 |
| MIM | 118425 |
| ◆ Recombinant Proteins | ||
| CLCN1-01HCL | Recombinant Human CLCN1 cell lysate, Myc/DDK-tagged | +Inquiry |
| CLCN1-1717M | Recombinant Mouse CLCN1 Protein, His (Fc)-Avi-tagged | +Inquiry |
| CLCN1-1965HF | Recombinant Full Length Human CLCN1 Protein, GST-tagged | +Inquiry |
| CLCN1-1414H | Recombinant Human CLCN1 Protein, GST-tagged | +Inquiry |
| CLCN1-3512M | Recombinant Mouse CLCN1 Protein | +Inquiry |
Not For Human Consumption!
Inquiry
- Reviews (0)
- Q&As (0)
Ask a Question for All CLCN1 Products
Required fields are marked with *
My Review for All CLCN1 Products
Required fields are marked with *
