Recombinant Human GLRX Protein, His-tagged
| Cat.No. : | GLRX-139H |
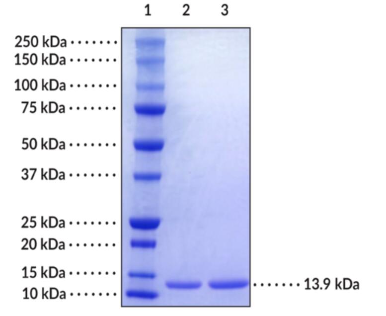
| Product Overview : | Active human recombinant N-terminal His-TEV tagged Grx1 (2-106) was expressed in E. coli. |
- Specification
- Gene Information
- Related Products
- Download
| Species : | Human |
| Source : | E.coli |
| Tag : | His |
| Protein Length : | 2-106 a.a. |
| Description : | This gene encodes a member of the glutaredoxin family. The encoded protein is a cytoplasmic enzyme catalyzing the reversible reduction of glutathione-protein mixed disulfides. This enzyme highly contributes to the antioxidant defense system. It is crucial for several signalling pathways by controlling the S-glutathionylation status of signalling mediators. It is involved in beta-amyloid toxicity and Alzheimer's disease. Multiple alternatively spliced transcript variants encoding the same protein have been identified. |
| Molecular Mass : | 13.9 kDa |
| Purity : | ≥ 95% estimated by SDS-PAGE |
| Unit Definition : | One unit is defined as the amount of enzyme required to produce 1 nmol of Eosin-GSH per minute at 25 centigrade in 0,1 Mpotassium phosphate, pH 7.5, containing 1 mM EDTA, 1U/mL glutathione reductase, 0.5 mM GSH, 0.25 mM NADPH, 0.75 μM alkylated BSA, and 20 μM Eosin-GS-BSA. |
| Applications : | Enzyme Activity |
| Stability : | ≥ 1 year |
| Storage : | At -80 centigrade. |
| Storage Buffer : | 50 mM Tris-HCl, pH 7.8, with 150 mM sodium chloride, 10% glycerol, 1 mM EDTA, and 0.1 mM DTT |
| Gene Name | GLRX glutaredoxin [ Homo sapiens (human) ] |
| Official Symbol | GLRX |
| Synonyms | GLRX; glutaredoxin; GRX; GRX1; glutaredoxin-1; TTase-1; thioltransferase; thioltransferase-1; EC 1.8.4.1; tyrosine-protein kinase Blk; B lymphoid tyrosine kinase; BLK nonreceptor tyrosine kinase; b lymphocyte kinase; p55-Blk; EC 2.7.10.2 |
| Gene ID | 2745 |
| mRNA Refseq | NM_002064 |
| Protein Refseq | NP_002055 |
| MIM | 600443 |
| UniProt ID | P35754 |
| ◆ Recombinant Proteins | ||
| GLRX-1694R | Recombinant Rhesus Macaque GLRX Protein, His (Fc)-Avi-tagged | +Inquiry |
| GLRX-2225R | Recombinant Rat GLRX Protein, His (Fc)-Avi-tagged | +Inquiry |
| Glrx-631M | Recombinant Mouse Glrx Protein, His-tagged | +Inquiry |
| GLRX-015H | Recombinant Human GLRX Protein | +Inquiry |
| GLRX-4975H | Recombinant Human GLRX Protein, GST-tagged | +Inquiry |
| ◆ Cell & Tissue Lysates | ||
| GLRX-5898HCL | Recombinant Human GLRX 293 Cell Lysate | +Inquiry |
Not For Human Consumption!
Inquiry
- Reviews (0)
- Q&As (0)
Ask a Question for All GLRX Products
Required fields are marked with *
My Review for All GLRX Products
Required fields are marked with *
