Active Recombinant Human LGALS12 protein, His-tagged

Cat.No. : LGALS12-5221H
Product Overview : Active Recombinant Human LGALS12 protein(Q96DT0)(70~291 aa), fused with N-terminal His tag, was expressed in E.coli.
  • Specification
  • Gene Information
  • Related Products
  • Download
Species : Human
Source : E.coli
Tag : His
Protein Length : 70-291 aa
Form : Lyophilized from sterile 20mM Tris, 150mM NaCl, pH8.0, containing 1mM EDTA, 1mM DTT, 0.01% SKL, 5% Trehalose and Proclin300.
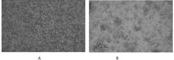
Bio-activity : Galectin-12 is a member of a family of mammalian lectins known as galectins. The galectins constitute a large family of carbohydrate-binding proteins that function in many systems both intracellularly and following secretion. Galectins contain either one or two carbohydrate recognition domains (CRR) which mediate recognition of N-acetyl-lactosamine-containing glycoproteins. Individual galectins differ in their tissue distribution and in their carbohydrate-binding specificities. Galectin-12 is predominantly expressed in adipose tissue and detected also in macrophages and other leukocytes. It plays an important role in cell-cell adhesion, cell-matrix interactions, macrophage activation, angiogenesis, metastasis, apoptosis. In this case, we chose rabbit erythrocyte (RaE) to assay its ability of agglutination. A general procedure for hemagglutination assay (or haemagglutination assay; HA) is as follows, two-fold dilute the recombinant Hu GAL12 with 0.9% sodium chloride injection, add 50μL a serial dilution of GAL12 to each well of a U or V-bottom shaped 96-well microtiter plate. The final well serves as a negative control with no GAL12, replace with 50μL 0.9% sodium chloride injection. Then add 50μL 1% rabbit erythrocyte to each well and mixed gently. The plate is incubated for 3 hours at room temperature. The results are shown. It was obvious that the minimal effective concentration of GAL12 is 0.781 μg/mL.
Molecular Mass : 29.0kDa
Endotoxin : <1.0EU per 1μg (determined by the LAL method).
Purity : > 97% as determined by SDS-PAGE.
Storage : Avoid repeated freeze/thaw cycles. Store at -20°C for 12 months. Aliquot and store at -80°C for 12 months.
Reconstitution : Reconstitute in 20mM Tris, 150mM NaCl (pH8.0) to a concentration of 0.1-1.0 mg/mL. Do not vortex.
Gene Name LGALS12 lectin, galactoside-binding, soluble, 12 [ Homo sapiens ]
Official Symbol LGALS12
Synonyms LGALS12; lectin, galactoside-binding, soluble, 12; galectin-12; galectin 12; GRIP1; galectin-related inhibitor of proliferation; GAL12;
Gene ID 85329
mRNA Refseq NM_001142535
Protein Refseq NP_001136007
MIM 606096
UniProt ID Q96DT0

Not For Human Consumption!

Inquiry

  • Reviews (0)
  • Q&As (0)

Customer Reviews

Write a review

Ask a Question for All LGALS12 Products

Required fields are marked with *

My Review for All LGALS12 Products

Required fields are marked with *

0
cart-icon
0
compare icon