Active Recombinant Human LGALS8 protein, His-tagged

Cat.No. : LGALS8-2784H
Product Overview : Active Recombinant Human LGALS8 protein(O00214)(1~317 aa), fused with N-terminal His tag, was expressed in E.coli.
  • Specification
  • Gene Information
  • Related Products
  • Download
Species : Human
Source : E.coli
Tag : His
Protein Length : 1-317 aa
Form : Lyophilized from sterile PBS, pH7.4, containing 0.01% SKL, 1mM DTT, 5% Trehalose and Proclin300.
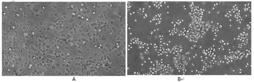
Bio-activity : Galectin 8 (GAL8), also known as prostate carcinoma tumor antigen 1 (PCTA1) in human, is a tandem repeat-type galectin. is a member of the lectin family, of which 14 mammalian galectins have been identified. It is also a member of the beta-galactoside-binding protein family that plays an important role in cell-cell adhesion, cell-matrix interactions, macrophage activation, angiogenesis, metastasis, apoptosis. In this case, we chose rabbit erythrocyte (RaE) to assay its ability of agglutination. A general procedure for hemagglutination assay (or haemagglutination assay; HA) is as follows, two-fold dilute the recombinant human GAL8 with 0.9% sodium chloride injection, add 50μL a serial dilution of GAL8 to each well of a U or V-bottom shaped 96-well microtiter plate. The final well serves as a negative control with no GAL8, replace with 50μL 0.9% sodium chloride injection. Then add 50μL 1% rabbit erythrocyte to each well and mixed gently. The plate is incubated for 3 hours at room temperature. The results are shown. It was obvious that the minimal effective concentration of GAL8 is 6.25μg/mL.
Molecular Mass : 37.1kDa
Endotoxin : <1.0EU per 1μg (determined by the LAL method).
Purity : > 95% as determined by SDS-PAGE.
Storage : Avoid repeated freeze/thaw cycles. Store at -20°C for 12 months. Aliquot and store at -80°C for 12 months.
Reconstitution : Reconstitute in 10mM PBS (pH7.4) to a concentration of 0.1-1.0 mg/mL. Do not vortex.
Gene Name LGALS8 lectin, galactoside-binding, soluble, 8 [ Homo sapiens ]
Official Symbol LGALS8
Synonyms LGALS8; lectin, galactoside-binding, soluble, 8; galectin-8; galectin 8; PCTA 1; galectin-8g; Po66 carbohydrate binding protein; po66 carbohydrate-binding protein; prostate carcinoma tumor antigen 1; Gal-8; PCTA1; PCTA-1; Po66-CBP;
Gene ID 3964
mRNA Refseq NM_006499
Protein Refseq NP_006490
MIM 606099
UniProt ID O00214

Not For Human Consumption!

Inquiry

  • Reviews (0)
  • Q&As (0)

Customer Reviews

Write a review

Ask a Question for All LGALS8 Products

Required fields are marked with *

My Review for All LGALS8 Products

Required fields are marked with *

0
cart-icon
0
compare icon