Recombinant Human LGMN Protein (18-323 aa), His-tagged

Cat.No. : LGMN-2161H
Product Overview : Recombinant Human LGMN Protein (18-323 aa) is produced by Yeast expression system. This protein is fused with a 6xHis tag at the N-terminal. Research Area: Immunology. Protein Description: Full Length of Mature Protein.
  • Specification
  • Gene Information
  • Related Products
  • Download
Species : Human
Source : Yeast
Tag : His
Protein Length : 18-323 aa
Description : Has a strict specificity for hydrolysis of asparaginyl bonds. Can also cleave aspartyl bonds slowly, especially under acidic conditions. Required for normal lysosomal protein degradation in renal proximal tubules. Required for normal degradation of internalized EGFR. Plays a role in the regulation of cell proliferation via its role in EGFR degradation (By similarity). May be involved in the processing of proteins for MHC class II antigen presentation in the lysosomal/endosomal system.
Form : Tris-based buffer,50% glycerol
Molecular Mass : 36.7 kDa
AA Sequence : VPIDDPEDGGKHWVVIVAGSNGWYNYRHQADACHAYQIIHRNGIPDEQIVVMMYDDIAYSEDNPTPGIVINRPNGTDVYQGVPKDYTGEDVTPQNFLAVLRGDAEAVKGIGSGKVLKSGPQDHVFIYFTDHGSTGILVFPNEDLHVKDLNETIHYMYKHKMYRKMVFYIEACESGSMMNHLPDNINVYATTAANPRESSYACYYDEKRSTYLGDWYSVNWMEDSDVEDLTKETLHKQYHLVKSHTNTSHVMQYGNKTISTMKVMQFQGMKRKASSPVPLPPVTHLDLTPSPDVPLTIMKRKLMNTN
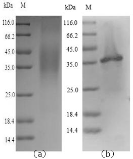
Purity : > 90% as determined by SDS-PAGE.
Notes : Repeated freezing and thawing is not recommended. Store working aliquots at 4 centigrade for up to one week.
Storage : The shelf life is related to many factors, storage state, buffer ingredients, storage temperature and the stability of the protein itself. Generally, the shelf life of liquid form is 6 months at -20 centigrade/-80 centigrade. The shelf life of lyophilized form is 12 months at -20 centigrade/-80 centigrade.
Concentration : A hardcopy of COA with reconstitution instruction is sent along with the products.
Gene Name LGMN legumain [ Homo sapiens ]
Official Symbol LGMN
Synonyms LGMN; legumain; LGMN1; cysteine protease 1; AEP; PRSC1;
Gene ID 5641
mRNA Refseq NM_001008530
Protein Refseq NP_001008530
MIM 602620
UniProt ID Q99538

Not For Human Consumption!

Inquiry

  • Reviews (0)
  • Q&As (0)

Customer Reviews

Write a review

Ask a Question for All LGMN Products

Required fields are marked with *

My Review for All LGMN Products

Required fields are marked with *

0
cart-icon
0
compare icon