Recombinant Human MAPT
| Cat.No. : | MAPT-97H |
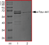
| Product Overview : | Recombinant human tag-free Tau-441 was co-expressed with GSK3beta in E. coli cells. The Tau-441 protein was phosphorylated by GSK3beta in vivo and in vitro prior to the final chromatography purification. |
- Specification
- Gene Information
- Related Products
- Download
| Species : | Human |
| Source : | E.coli |
| Tag : | Non |
| Description : | This gene encodes the microtubule-associated protein tau (MAPT) whose transcript undergoes complex, regulated alternative splicing, giving rise to several mRNA species. MAPT transcripts are differentially expressed in the nervous system, depending on stage of neuronal maturation and neuron type. MAPT gene mutations have been associated with several neurodegenerative disorders such as Alzheimer"s disease, Pick"s disease, frontotemporal dementia, cortico-basal degeneration and progressive supranuclear palsy. |
| Form : | Recombinant protein stored in 50mM Tris-HCl, pH 7.5, 150mM NaCl, 0.25mM DTT, 0.1mM PMSF, 25% glycerol. |
| Molecular Mass : | ~64-68 kDa |
| AA Sequence : | 1-441 |
| Purity : | The purity of Tau441, GSK3B-phosphorylated was determined to be >90% by densitometry, approx. |
| Applications : | Kinase Assay; Western Blot |
| Stability : | 1 yr at –70oC from date of shipment. |
| Storage : | Store product at –70oC. For optimal storage, aliquot target into smaller quantities after centrifugation and store at recommended temperature. For most favorable performance, avoid repeated handling and multiple freeze/thaw cycles. |
| Concentration : | 0.2 ug/ul |
| Gene Name | MAPT?microtubule-associated protein tau [?Homo sapiens?(human) ] |
| Official Symbol | MAPT |
| Synonyms | MAPT; TAU; MSTD; PPND; DDPAC; MAPTL; MTBT1; MTBT2; FTDP-17; microtubule-associated protein tau; microtubule-associated protein tau; PHF-tau; paired helical filament-tau; neurofibrillary tangle protein; microtubule-associated protein tau, isoform 4; G protein beta1/gamma2 subunit-interacting factor 1 |
| Gene ID | 4137 |
| mRNA Refseq | NM_005910 |
| Protein Refseq | NP_005901?? |
| MIM | 157140 |
| UniProt ID | P10636 |
| Chromosome Location | 17q21.1 |
| Pathway | Alzheimer"s disease; Caspase-mediated cleavage of cytoskeletal proteins; IL-2 Signaling pathway |
| Function | SH3 domain binding; apolipoprotein binding; enzyme binding |
| ◆ Recombinant Proteins | ||
| MAPT-39H | Recombinant Human MAPT Protein (216-391), N-AVI-tagged, Biotinylated | +Inquiry |
| MAPT-20H | Recombinant Human MAPT protein, MYC/DDK-tagged | +Inquiry |
| MAPT-122H | Recombinant Human Tau-441 (1-421) | +Inquiry |
| MAPT-157H | Recombinant Human Tau-441 (50-421) | +Inquiry |
| MAPT-5073H | Recombinant Human Microtubule-Associated Protein Tau, His-tagged | +Inquiry |
| ◆ Cell & Tissue Lysates | ||
| MAPT-4476HCL | Recombinant Human MAPT 293 Cell Lysate | +Inquiry |
| MAPT-4477HCL | Recombinant Human MAPT 293 Cell Lysate | +Inquiry |
| MAPT-4478HCL | Recombinant Human MAPT 293 Cell Lysate | +Inquiry |
Not For Human Consumption!
Inquiry
- Reviews (0)
- Q&As (0)
Ask a Question for All MAPT Products
Required fields are marked with *
My Review for All MAPT Products
Required fields are marked with *
