Active Recombinant Human PRF1 protein, His-GST-tagged

Cat.No. : PRF1-25H
Product Overview : Recombinant Human PRF1 protein(Lys32-Phe316), fused with N-terminal His and GST tag, was expressed in E. coli.
  • Specification
  • Gene Information
  • Related Products
  • Download
Species : Human
Source : E. coli
Tag : GST&His
Protein Length : 32-316 aa
Form : 20mM Tris, 150mM NaCl, pH8.0, containing 1mM EDTA, 1mM DTT, 0.01% SKL, 5% Trehalose and Proclin300.
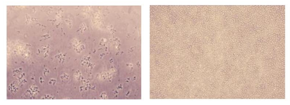
Bio-activity : 1. Perforin 1 (PRF1) is a pore forming cytolytic protein found in the granules of cytotoxic T lymphocytes (CTLs) and NK cells. Upon degranulation, perforin binds to the target cell's plasma membrane, and oligomerises in a Ca2 dependent manner to form pores on the target cell. The pore formed allows for the passive diffusion of a family of pro-apoptotic proteases, known as the granzymes, into the target cell. Besides, Calreticulin (CRT) has been identified as an interactor of PRF1, thus a binding ELISA assay was conducted to detect the interaction of recombinant human PRF1 and recombinant human CRT. Briefly, PRF1 were diluted serially in PBS, with 0.01% BSA (pH 7.4). Duplicate samples of 100μL were then transferred to CRT-coated microtiter wells and incubated for 2h at 37°C. Wells were washed with PBST and incubated for 1h with anti-PRF1 pAb, then aspirated and washed 3 times. After incubation with HRP labelled secondary antibody, wells were aspirated and washed 3 times. With the addition of substrate solution, wells were incubated 15-25 minutes at 37°C. Finally, add 50µL stop solution to the wells and read at 450nm immediately. The binding activity of PRF1 and CRT was shown in Figure 2, and this effect was in a dose dependent manner.2. The activity of recombinant PRF1 was measured by lysis of erythrocytes using a hemolysis assay. A general procedure is as fllows: two-fold dilute the recombinant human PRF1 with 0.9% NaCl, add 50μL a serial dilution of PRF1, 10μL 0.1M CaCl2 to each well, then add 50μL 0.25% rabbit erythrocyte (RaE) to each well and mixed gently. Add 10μL 0.9% NaCl to reaplace CaCl2 in control wells. The plate is incubated for 20 hours at 37°C, 5% CO2. The results are shown in Figure 3. It was obvious that the minimal effective concentration of PRF1 is 12.5μg/mL.
Molecular Mass : 62kDa
Purity : > 95%
Storage : Avoid repeated freeze/thaw cycles. Store at 2-8°C for one month. Aliquot and store at -80°C for 12 months.
Reconstitution : Reconstitute in 10mM PBS (pH7.4) to a concentration of 0.1-1.0 mg/mL. Do not vortex.
Gene Name PRF1 perforin 1 (pore forming protein) [ Homo sapiens ]
Official Symbol PRF1
Synonyms PRF1; perforin 1 (pore forming protein); perforin-1; HPLH2; P1; Perforin; perforin 1 (preforming protein); PFP; cytolysin; lymphocyte pore forming protein; lymphocyte pore-forming protein; FLH2; PFN1; MGC65093
Gene ID 5551
mRNA Refseq NM_001083116
Protein Refseq NP_001076585
MIM 170280
UniProt ID P14222

Not For Human Consumption!

Inquiry

  • Reviews (0)
  • Q&As (0)

Customer Reviews

Write a review

Ask a Question for All PRF1 Products

Required fields are marked with *

My Review for All PRF1 Products

Required fields are marked with *

0
cart-icon
0
compare icon