Recombinant Human SIGLEC8 protein, His-Avi-tagged, Biotinylated
Cat.No. : | SIGLEC8-197HB |
Product Overview : | Biotinylated Recombinant human siglec 8 Protein is expressed from mammalian with a His Tag and Avi Tag at the C-terminal. It contains Met17-Ala363. |
- Specification
- Gene Information
- Related Products
- Download
Species : | Human |
Source : | HEK293 |
Tag : | Avi&His |
Protein Length : | It contains Met17-Ala363. |
Description : | Siglec-8, also known as SAF, is an approximately 75 kDa transmembrane glycoprotein in the Siglec family of sialic acid-binding immune regulatory molecules. Mature human Siglec-8 consists of a 347 amino acid (aa) extracellular domain (ECD) with three Ig-like domains.Putative adhesion molecule that mediates sialic-acid dependent binding to red blood cells. Preferentially binds to alpha-2,3-linked sialic acid. Also binds to alpha-2,6-linked sialic acid. |
Form : | Supplied as 0.22um filtered solution in 20mM PBS,pH7.4. |
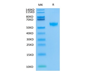
Molecular Mass : | The protein has a predicted MW of 40.7 kDa.Due to glycosylation, the protein migrates to 50-60KDa based on Bis-Tris PAGE result. |
Endotoxin : | Less than 0.05 EU per ug by the LAL method. |
Purity : | > 95% as determined by Tris-Bis -PAGE; > 95% as determined by HPLC |
Storage : | The product should be stored at -70°C. Please do not repeated freeze-thaw cycles. |
Reconstitution : | It is recommended that sterile water be added to the vial to prepare a stock solution of 0.2 ug/ul. Centrifuge the vial at 4℃ before opening to recover the entire contents. |
Conjugation : | Biotin |
Gene Name | SIGLEC8 sialic acid binding Ig-like lectin 8 [ Homo sapiens ] |
Official Symbol | SIGLEC8 |
Synonyms | SAF2; SIGLEC-8; SIGLEC8L |
Gene ID | 27181 |
mRNA Refseq | NM_014442 |
Protein Refseq | NP_055257 |
MIM | 605639 |
UniProt ID | Q9NYZ4 |
◆ Recombinant Proteins | ||
SIGLEC8-0693H | Recombinant Human SIGLEC8 protein, hFc-tagged | +Inquiry |
SIGLEC8-139H | Recombinant Human SIGLEC8(Met17-Ala363) Protein, C-mFc-tagged | +Inquiry |
SIGLEC8-5809H | Recombinant Human SIGLEC8 Protein (Met1-Ala363), C-Fc tagged | +Inquiry |
SIGLEC8-197HB | Recombinant Human SIGLEC8 protein, His-Avi-tagged, Biotinylated | +Inquiry |
SIGLEC8-138H | Recombinant Human SIGLEC8 protein, hFc-tagged | +Inquiry |
Not For Human Consumption!
Inquiry
- Reviews (0)
- Q&As (0)
Ask a Question for All SIGLEC8 Products
Required fields are marked with *
My Review for All SIGLEC8 Products
Required fields are marked with *