Recombinant Human Tau-441 (S199E)
| Cat.No. : | MAPT-141H | 
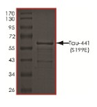
| Product Overview : | Recombinant human tag-free Tau-441 (S199E) was expressed in E. coli cells. | 
- Specification
- Gene Information
- Related Products
- Download
| Species : | Human | 
| Source : | E.coli | 
| Tag : | Non | 
| Description : | Tau-441 or Tau-F is a member of the Tau family of proteins which function to stabilize the microtubules by binding to them. Tau proteins are subject to phosphorylation and this phenomenon regulates the association of the Tau protein with the microtubules. Deposits of Alzheimer"s disease AD-associated proteins, such as hyperphosphorylated Tau, as well as other shared misfolded proteins, such as, β-amyloid precursor protein (βAPP), ubiquitin, and various chaperones and protein kinases are thought to play a pathologic role in the cognitive decline and muscular failure. Malfunctioning of Tau proteins is associated with microtubules disintegration and collapsing of the neuronal transport system. | 
| Form : | Recombinant protein stored in 50mM Tris-HCl, pH 7.5, 150mM NaCl, 0.25mM DTT, 0.1mM PMSF, 25% glycerol. | 
| Molecular Mass : | ~64 kDa | 
| Purity : | >90% by densitometry | 
| Applications : | Kinase Assay, Western Blot | 
| Storage : | Store product at –70 centigrade. For optimal storage, aliquot target into smaller quantities after centrifugation and store at recommended temperature. For most favorable performance, avoid repeated handling and multiple freeze/thaw cycles. | 
| Concentration : | 0.2 μg/μl | 
| Gene Name | MAPT microtubule-associated protein tau [ Homo sapiens ] | 
| Official Symbol | MAPT | 
| Synonyms | MAPT; microtubule-associated protein tau; DDPAC, MAPTL; FLJ31424; FTDP 17; G protein beta1/gamma2 subunit interacting factor 1; MGC138549; microtubule associated protein tau; isoform 4; MSTD; MTBT1; MTBT2; PPND; tau; TAU; PHF-tau; paired helical filament-tau; neurofibrillary tangle protein; microtubule-associated protein tau, isoform 4; G protein beta1/gamma2 subunit-interacting factor 1; DDPAC; MAPTL; FTDP-17; | 
| Gene ID | 4137 | 
| mRNA Refseq | NM_001123066 | 
| Protein Refseq | NP_001116538 | 
| MIM | 157140 | 
| UniProt ID | P10636 | 
| Chromosome Location | 17q21 | 
| Pathway | Alzheimers disease, organism-specific biosystem; Alzheimers disease, conserved biosystem; Apoptosis, organism-specific biosystem; Apoptotic cleavage of cellular proteins, organism-specific biosystem; Apoptotic executionphase, organism-specific biosystem; Caspase-mediated cleavage of cytoskeletal proteins, organism-specific biosystem; IL-6 Signaling Pathway, organism-specific biosystem; | 
| Function | SH3 domain binding; apolipoprotein E binding; enzyme binding; lipoprotein particle binding; microtubule binding; protein binding; structural constituent of cytoskeleton; | 
| ◆ Recombinant Proteins | ||
| MAPT-4496H | Recombinant Human MAPT Protein | +Inquiry | 
| MAPT-138H | Recombinant Human Tau-441 (R406W) | +Inquiry | 
| MAPT-2891H | Recombinant Human MAPT protein(1-441 aa, Tau231), C-His-tagged | +Inquiry | 
| MAPT-98H | Recombinant Human MAPT | +Inquiry | 
| MAPT-4220HFL | Recombinant Full Length Human MAPT protein, Flag-tagged | +Inquiry | 
| ◆ Cell & Tissue Lysates | ||
| MAPT-4478HCL | Recombinant Human MAPT 293 Cell Lysate | +Inquiry | 
| MAPT-4476HCL | Recombinant Human MAPT 293 Cell Lysate | +Inquiry | 
| MAPT-4477HCL | Recombinant Human MAPT 293 Cell Lysate | +Inquiry | 
Not For Human Consumption!
Inquiry
- Reviews (0)
- Q&As (0)
Ask a Question for All MAPT Products
Required fields are marked with *
My Review for All MAPT Products
Required fields are marked with *
 
  
        
    
       
                         
                             
            