Recombinant Human TOR2A Protein, His tagged

Cat.No. : TOR2A-001H
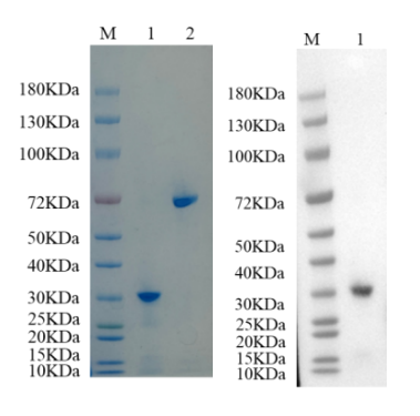
Product Overview : Recombinant Human TOR2A Protein (27-321 aa) with His tag was expressed in E.coli.
  • Specification
  • Gene Information
  • Related Products
  • Download
Species : Human
Source : E.coli
Tag : His
Protein Length : 27-321 aa
Description : This gene encodes a member of the AAA family of adenosine triphosphatases with similarity to Clp proteases and heat shock proteins. Alternative splicing at this locus results in the translation of multiple isoforms of the encoded protein, some of which contain salusin peptides in the C-terminal region. These peptides may play roles in hypotension, myocardial growth and the induction of mitogenesis, and may also be involved in the pathogenesis of atherosclerosis. The antimicrobial peptide salusin-beta has antibacterial activity.
Form : Sterile PBS, pH7.4, 0.1% SKL
Molecular Mass : 34 kDa
AASequence : MHHHHHHHHHHAWDLASLRCTLGAFCECDFRPDLPGLECDLAQHLAGQHLAKALVVKALKAFVRDPAPTKPLVLSLHGWTGTGKSYVSSLLAHYLFQGGLRSPRVHHFSPVLHFPHPSHIERYKKDLKSWVQGNLTACGRSLFLFDEMDKMPPGLMEVLRPFLGSSWVVYGTNYRKAIFIFISNTGGKQINQVALEAWRSRRDREEILLQELEPVISRAVLDNPHHGFSNSGIMEERLLDAVVPFLPLQRHHVRHCVLNELAQLGLEPRDEVVQAVLDSTTFFPEDEQLFSSNGCKTVASRIAFFL
Endotoxin : < 1.0 EU/μg of the protein by the LAL method.
Purity : > 90% by SDS-PAGE
Storage : Store it under sterile conditions at -20 to -80 centigrade. It is recommended that the protein be aliquoted for optimal storage. Avoid repeated freeze-thaw cycles.
Concentration : 1 mg/mL by BCA
Gene Name TOR2A torsin family 2, member A [ Homo sapiens (human) ]
Official Symbol TOR2A
Synonyms TOR2A; torsin family 2, member A; prosalusin; FLJ14771; TORP1; torsin-2A; torsin-related protein 1; MGC99558;
Gene ID 27433
mRNA Refseq NM_001085347
Protein Refseq NP_001078816
MIM 608052
UniProt ID Q5JU69

Not For Human Consumption!

Inquiry

  • Reviews (0)
  • Q&As (0)

Customer Reviews

Write a review

Ask a Question for All TOR2A Products

Required fields are marked with *

My Review for All TOR2A Products

Required fields are marked with *

0
cart-icon
0
compare icon