Active Recombinant Pig LGALS4 protein, His-tagged

Cat.No. : LGALS4-415P
Product Overview : Active Recombinant Pig LGALS4 protein(Q29058)(1~323 aa), fused with N-terminal His tag, was expressed in E.coli.
  • Specification
  • Gene Information
  • Related Products
  • Download
Species : Pig
Source : E.coli
Tag : His
Protein Length : 1-323 aa
Form : Lyophilized from sterile PBS, pH7.4, containing 0.01% SKL, 1mM DTT, 5% Trehalose and Proclin300.
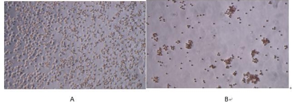
Bio-activity : Galectin-4(GAL4) is a protein that in humans is encoded by the LGALS4 gene. The galectins are a family of beta-galactoside-binding proteins implicated in modulating cell-cell and cell-matrix interactions. LGALS4 is an S-type lectin that is strongly underexpressed in colorectal cancer. In this case, we chose rabbit erythrocyte (RaE) to assay its ability of agglutination. A general procedure for hemagglutination assay (or haemagglutination assay; HA) is as follows, two-fold dilute the recombinant pig GAL4 with 0.9% sodium chloride injection, add 50μL a serial dilution of GAL4 to each well of a U or V-bottom shaped 96-well microtiter plate. The final well serves as a negative control without GAL4, replace with 50μL 0.9% sodium chloride injection. Then add 50μL 1% rabbit erythrocyte to each well and mixed gently. The plate is incubated for 3 hours at room temperature. The results are shown. It was obvious that the minimal effective concentration of GAL4 is 7.5 μg/mL.
Molecular Mass : 39.6kDa
Endotoxin : <1.0EU per 1μg (determined by the LAL method).
Purity : > 95% as determined by SDS-PAGE.
Storage : Avoid repeated freeze/thaw cycles. Store at -20°C for 12 months. Aliquot and store at -80°C for 12 months.
Reconstitution : Reconstitute in 10mM PBS (pH7.4) to a concentration of 0.1-1.0 mg/mL. Do not vortex.
Gene Name LGALS4 lectin, galactoside-binding, soluble, 4 [ Sus scrofa ]
Official Symbol LGALS4
Synonyms LGALS4; lectin, galactoside-binding, soluble, 4; galectin-4; gal-4; lactose-binding lectin 4; L-36 lactose binding protein; L-36 lactose-binding protein; lectin, galactoside-binding, soluble, 4 (galectin 4); L36LBP;
Gene ID 397041
mRNA Refseq NM_213981
Protein Refseq NP_999146

Not For Human Consumption!

Inquiry

  • Reviews (0)
  • Q&As (0)

Customer Reviews

Write a review

Ask a Question for All LGALS4 Products

Required fields are marked with *

My Review for All LGALS4 Products

Required fields are marked with *

0
cart-icon
0
compare icon