Recombinant Rat AR Protein, His tagged
| Cat.No. : | AR-743R |
| Product Overview : | Recombinant Rat AR Protein with His tag was expressed in E. coli. |
| Availability | November 30, 2025 |
| Unit | |
| Price | |
| Qty |
- Specification
- Gene Information
- Related Products
- Citation
- Download
| Species : | Rat |
| Source : | E.coli |
| Tag : | His |
| Description : | Enables several functions, including androgen binding activity; androgen receptor binding activity; and nuclear receptor activity. Involved in several processes, including cellular response to hormone stimulus; mating; and regulation of transcription, DNA-templated. Located in several cellular components, including axon; dendrite; and nucleus. Used to study hypertension; osteoporosis; prostate adenocarcinoma; prostate cancer; and prostatic hypertrophy. Biomarker of acute kidney failure and androgen insensitivity syndrome. Human ortholog(s) of this gene implicated in several diseases, including attention deficit hyperactivity disorder; conduct disorder; disorder of sexual development (multiple); reproductive organ cancer (multiple); and spinal muscular atrophy (multiple). Orthologous to human AR (androgen receptor). |
| Molecular Mass : | The protein has a calculated MW of 61 kDa. |
| AA Sequence : | MHHHHHHLRMEVQLGLGRVYPRPPSKTYRGAFQNLFQSVREAIQNPGPRHPEAASIAPPGACLQQRQETSPRRRRRQQHPEDGSPQAHIRGTTGYLALEEEQQPSQQQSASEGHPESGCLPEPGAATAPGKGLPQQPPAPPDQDDSAAPSTLSLLGPTFPGLSSCSADIKDILSEAGTMQLLQQQQQQQQQQQQQQQQQQQQQQEVISEGSSSVRAREATGAPSSSKDSYLGGNSTISDSAKELCKAVSVSMGLGVEALEHLSPGEQLRGDCMYASLLGGPPAVRPTPCAPLAECKGLSLDEGPGKGTEETAEYSSFKGGYAKGLEGESLGCSGSSEAGSSGTLEIPSSLSLYKSGAVDEAAAYQNRDYYNFPLALSGPPHPPPPTHPHARIKLENPSDYGSAWAAAAAQCRYGDLASLHGGSVAGPSTGSPPATASSSWHTLFTAEEGQLYGPGGGGGSSSPSDAGPVAPYGYTRPPQGLASQEGDFSASEVWYPGGVVNRVPYPSPSCVKSEMGPWMENYSGPYGDMRLDSTRDHVLPIDYYFPPQKTCLICGDEASGCHYGALTCGSCKVFFKRA |
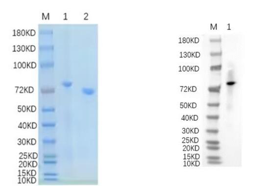
| Purity : | > 90% by SDS-PAGE |
| Storage : | Store it under sterile conditions at -20 to -80 centigrade. It is recommended that the protein be aliquoted for optimal storage. Avoid repeated freeze-thaw cycles. |
| Concentration : | 0.5 mg/mL by BCA |
| Storage Buffer : | Sterile PBS, pH 7.4 |
| Gene Name | Ar androgen receptor [ Rattus norvegicus ] |
| Official Symbol | Ar |
| Synonyms | AR; androgen receptor; dihydrotestosterone receptor; nuclear receptor subfamily 3 group C member 4; androgen receptor (Testicular feminization), same as Tfm; Tfm; Andr; |
| Gene ID | 24208 |
| mRNA Refseq | NM_012502 |
| Protein Refseq | NP_036634 |
| UniProt ID | P15207 |
| ◆ Recombinant Proteins | ||
| AR-27313TH | Recombinant Human AR | +Inquiry |
| RFL2478BF | Recombinant Full Length Bombyx Mori Allatostatin-A Receptor(Ar) Protein, His-Tagged | +Inquiry |
| AR-993H | Recombinant Human AR protein, His-tagged | +Inquiry |
| AR-333H | Recombinant Human AR Protein, His-tagged | +Inquiry |
| AR-983R | Recombinant Full Length Rat androgen receptor Protein, His-tagged | +Inquiry |
| ◆ Cell & Tissue Lysates | ||
| AR-8764HCL | Recombinant Human AR 293 Cell Lysate | +Inquiry |
| AR-047HKCL | Human AR Knockdown Cell Lysate | +Inquiry |
A detailed characterization of stepwise activation of the androgen receptor variant 7 in prostate cancer cells
Journal: Oncogene PubMed ID: 33323969 Data: 2020/12/3
Authors: Carlos M. Roggero, Lianjin Jin, Yan Dong
Article Snippet:Fusion proteins were purified using glutathione-agarose beads (GE Life Sciences) or Ni-NTA resin (Thermo Fisher).Fusion proteins were purified using glutathione-agarose beads (GE Life Sciences) or Ni-NTA resin (Thermo Fisher).. For pull-down assays, 2 μg of His-AR-V7 or AR-FL recombinant protein (Creative BioMart) was incubated with 2 μg of GST-AR-V7 protein, GST alone, or GST-fused catalytic domain of JMJD2B that was immobilized on glutathione beads in 50 μl of binding buffer (25mM Tris, 0.1% TX-100, 0.5 M NaCl in water, and proteinase inhibitor cocktail) for 2 hr at 4°C on a rotating platform.. After centrifugation at 5000xg for 15 sec, the agarose beads were washed 4 times with the binding buffer.After centrifugation at 5000xg for 15 sec, the agarose beads were washed 4 times with the binding buffer.
Not For Human Consumption!
Inquiry
- Reviews (0)
- Q&As (0)
Ask a Question for All AR Products
Required fields are marked with *
My Review for All AR Products
Required fields are marked with *
