Active Recombinant Rat Lgals2 protein, His-tagged

Cat.No. : Lgals2-407R
Product Overview : Active Recombinant Rat Lgals2 protein(Q9Z144)(1~130 aa), fused with N-terminal His tag, was expressed in E.coli.
  • Specification
  • Gene Information
  • Related Products
  • Download
Species : Rat
Source : E.coli
Tag : His
Protein Length : 1-130 aa
Form : Lyophilized from sterile PBS, pH7.4, containing 0.01% SKL, 1mM DTT, 5% Trehalose and Proclin300.
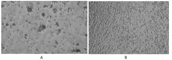
Bio-activity : Galectin 2 (GAL2) belongs to the proto type group and consists of two homologous carbohydrate recognition domains (CRDs) resulting in multiple sugar binding sites. The expression of gal-2 has been shown to be involved in processes of angiogenesis and inflammation but was not analyzed before in preeclamptic (PE) placentas.It also can agglutinate red blood. In this case, chose rabbit erythrocyte (RaE) to assay its ability of agglutination. A general procedure for hemagglutination assay (or haemagglutination assay; HA) is as follows, two-fold dilute the recombinant rat GAL2 with 0.9% sodium chloride injection, add 50μL a serial dilution of GAL2 to each well of a U or V-bottom shaped 96-well microtiter plate. The final well serves as a negative control without GAL2, replace with 50μL 0.9% sodium chloride injection. Then add 50μL 1% rabbit erythrocyte to each well and mixed gently. The plate is incubated for 3 hours at room temperature. The results are shown. It was obvious that the minimal effective concentration of GAL2 is 1.25μg/ml.
Molecular Mass : 18.4kDa
Endotoxin : <1.0EU per 1μg (determined by the LAL method).
Purity : > 97% as determined by SDS-PAGE.
Storage : Avoid repeated freeze/thaw cycles. Store at -20°C for 12 months. Aliquot and store at -80°C for 12 months.
Reconstitution : Reconstitute in 10mM PBS (pH7.4) to a concentration of 0.1-1.0 mg/mL. Do not vortex.
Gene Name Lgals2 lectin, galactoside-binding, soluble, 2 [ Rattus norvegicus ]
Official Symbol Lgals2
Synonyms LGALS2; lectin, galactoside-binding, soluble, 2; galectin-2; gal-2; lectin galactoside-binding soluble 2 (galectin 2); lectin, galactoside-binding, soluble, 2 (galectin 2);
Gene ID 171134
mRNA Refseq NM_133599
Protein Refseq NP_598283

Not For Human Consumption!

Inquiry

  • Reviews (0)
  • Q&As (0)

Customer Reviews

Write a review

Ask a Question for All Lgals2 Products

Required fields are marked with *

My Review for All Lgals2 Products

Required fields are marked with *

0
cart-icon
0
compare icon