Active Recombinant Bovine LGALS1 protein, His-tagged
| Cat.No. : | LGALS1-454C |
| Product Overview : | Active Recombinant Bovine LGALS1 protein(P11116)(1~ 135 aa), fused with N-terminal His tag, was expressed in E.coli. |
- Specification
- Gene Information
- Related Products
- Download
| Species : | Bovine |
| Source : | E.coli |
| Tag : | His |
| Protein Length : | 1- 135 aa |
| Form : | Lyophilized from sterile PBS, pH7.4, containing 0.01% SKL, 1mM DTT, 5% Trehalose and Proclin300. |
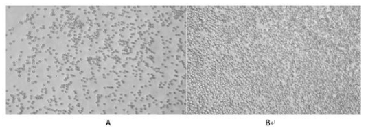
| Bio-activity : | Galectins are a family of carbohydrate-binding proteins with an affinity for beta-galactosides. Galectin-1 (GAL1) is differentially expressed by various normal and pathological tissues and appears to be functionally polyvalent, with a wide range of biological activity. The intracellular and extracellular activity of GAL1 has been described. Evidence points to GAL1 and its ligands as one of the master regulators of such immune responses as T-cell homeostasis and survival, T-cell immune disorders, inflammation and allergies as well as host-pathogen interactions.It also can agglutinate red blood. In this case, chose rabbit erythrocyte (RaE) to assay its ability of agglutination. A general procedure for hemagglutination assay (or haemagglutination assay; HA) is as follows, two-fold dilute the recombinant cattle GAL1 with 0.9% sodium chloride injection, add 50μL a serial dilution of GAL1 to each well of a U or V-bottom shaped 96-well microtiter plate. The final well serves as a negative control without GAL1, replace with 50μL 0.9% sodium chloride injection. Then add 50μL 1% rabbit erythrocyte to each well and mixed gently. The plate is incubated for 3 hours at room temperature. The results are shown. It was obvious that the minimal effective concentration of GAL1 is 2.5μg/mL. |
| Molecular Mass : | 16.0kDa |
| Endotoxin : | <1.0EU per 1μg (determined by the LAL method). |
| Purity : | > 90% as determined by SDS-PAGE. |
| Storage : | Avoid repeated freeze/thaw cycles. Store at -20°C for 12 months. Aliquot and store at -80°C for 12 months. |
| Reconstitution : | Reconstitute in 10mM PBS (pH7.4) to a concentration of 0.1-1.0 mg/mL. Do not vortex. |
Not For Human Consumption!
Inquiry
- Reviews (0)
- Q&As (0)
Ask a Question for All LGALS1 Products
Required fields are marked with *
My Review for All LGALS1 Products
Required fields are marked with *
