Recombinant Human CXCL10, His-tagged
| Cat.No. : | CXCL10-31H |
| Product Overview : | A DNA sequence encoding human CXCL10(Q9UBH0) corresponding to amino acid (1-98) was expressed with a C-terminal polyhistidine tag. |
- Specification
- Gene Information
- Related Products
- Download
| Species : | Human |
| Source : | HEK293 |
| Tag : | His |
| Protein Length : | 1-98 a.a. |
| Description : | CXCL10, also known as crg-2, belongs to the intercrine alpha (chemokine CxC) family. CXC chemokines are particularly significant for leukocyte infiltration in inflammatory diseases. With a three-dimensional crystal structure, CXCL10’s signaling is mediated by the g protein-coupled receptor CXCR3, which is expressed on activated T cells and plays an important role in directing the migration of T cells, especially during Th1 responses. It is secreted by monocytes, epithelial cells, and endothelial cells in response to IFN gamma or other pro-inflammatory cytokines and stimuli. Binding of CXCL10 to CXCR3 results in pleiotropic effects, including stimulation of monocytes, natural killer and T-cell migration, and modulation of adhesion molecule expression. It is chemotactic for monocytes and T-lymphocytes. Baseline pre-treatment plasma levels of CXCL10 are elevated in patients chronically infected with hepatitis C virus (HCV) of genotypes 1 or 4. |
| Form : | PBS pH7.4 |
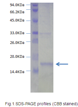
| Molecular Mass : | The mature form of human CXCL10 consists of 78 amino acids (Val22-Pro98) and has a predicted molecular mass of 8.8kDa. In SDS-PAGE under reducing conditions, it migrates with an apparent molecular mass of 15KDa. |
| AA Sequence : | MNQTAILICCLIFLTLSGIQGVPLSRTVRCTCISISNQPVNPRSLEKLEIIPASQFCPRVEIIATMKKKGEKRCL NPESKAIKNLLKAVSKERSKRSP |
| Purity : | > 90% by SDS - PAGE |
| Storage : | Store it at +4°C for short term. For long term storage, store it at -20°C - -70°C. Avoid freeze-thaw cycles. |
| Gene Name | CXCL10 chemokine (C-X-C motif) ligand 10 [ Homo sapiens ] |
| Official Symbol | CXCL10 |
| Synonyms | CXCL10; chemokine (C-X-C motif) ligand 10; INP10, SCYB10, small inducible cytokine subfamily B (Cys X Cys), member 10; C-X-C motif chemokine 10; C7; crg 2; gIP 10; IFI10; IP 10; mob 1; gamma IP10; gamma-IP10; small-inducible cytokine B10; interferon-inducible cytokine IP-10; 10 kDa interferon gamma-induced protein; protein 10 from interferon (gamma)-induced cell line; small inducible cytokine subfamily B (Cys-X-Cys), member 10; INP10; IP-10; crg-2; mob-1; SCYB10; gIP-10; |
| Gene ID | 3627 |
| mRNA Refseq | NM_001565 |
| Protein Refseq | NP_001556 |
| MIM | 147310 |
| UniProt ID | P02778 |
| Chromosome Location | 4q21 |
| Pathway | CXCR3-mediated signaling events, organism-specific biosystem; Chemokine receptors bind chemokines, organism-specific biosystem; Chemokine signaling pathway, organism-specific biosystem; Chemokine signaling pathway, conserved biosystem; Class A/1 (Rhodopsin-like receptors), organism-specific biosystem; Cytokine-cytokine receptor interaction, organism-specific biosystem; Cytokine-cytokine receptor interaction, conserved biosystem; |
| Function | cAMP-dependent protein kinase regulator activity; chemokine activity; receptor binding; |
| ◆ Recombinant Proteins | ||
| Cxcl10-2770M | Recombinant Mouse Cxcl10 protein, GST-tagged | +Inquiry |
| Cxcl10-076M | Recombinant Mouse Cxcl10 Protein, MYC/DDK-tagged | +Inquiry |
| CXCL10-522C | Recombinant Cattle CXCL10 Protein, His-tagged | +Inquiry |
| CXCL10-5006H | Recombinant Human CXCL10 protein, His-tagged | +Inquiry |
| CXCL10-2111H | Recombinant Human CXCL10 Protein (Val22-Pro98), C-His and Fc tagged | +Inquiry |
| ◆ Cell & Tissue Lysates | ||
| CXCL10-7172HCL | Recombinant Human CXCL10 293 Cell Lysate | +Inquiry |
Not For Human Consumption!
Inquiry
- Reviews (0)
- Q&As (0)
Ask a Question for All CXCL10 Products
Required fields are marked with *
My Review for All CXCL10 Products
Required fields are marked with *
