Active Recombinant Mouse Lgals7 protein, His-tagged
| Cat.No. : | Lgals7-426M | 
| Product Overview : | Active Recombinant Mouse Lgals7 protein(Q99ML7)(2~136 aa), fused with N-terminal His tag, was expressed in E.coli. | 
- Specification
- Gene Information
- Related Products
- Download
| Species : | Mouse | 
| Source : | E.coli | 
| Tag : | His | 
| Protein Length : | 2-136 aa | 
| Form : | Lyophilized from sterile PBS, pH7.4, containing 0.01% SKL, 1mM DTT, 5% Trehalose and Proclin300. | 
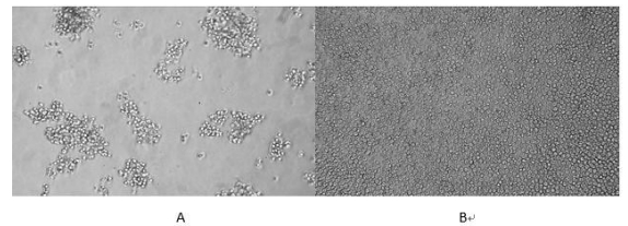
| Bio-activity : | The galectins constitute a large family of carbohydrate-binding proteins with specificity for N-acetyl-lactosamine-containing glycoproteins. At least 14 mammalian galectins, which share structural similarities in their carbohydrate recognition domains (CRD), have been identified. The galectins have been classified into the prototype galectins (-1, -2, -5, -7, -10, -11, -13, -14), which contain one CRD and exist either as a monomer or a noncovalent homodimer; the chimera galectins (Galectin-3) containing one CRD linked to a nonlectin domain; and the tandem-repeat galectins (-4, -6, -8, -9, -12) consisting of two CRDs joined by a linker peptide. Galectin-7 may also be involved in cell-cell and cell-matrix interactions and exogenous galectin has been found to accelerate the re-epithelialization of wounds It can agglutinate red blood.In this case, we chose rabbit erythrocyte (RaE) to assay its ability of agglutination. A general procedure for hemagglutination assay (or haemagglutination assay; HA) is as follows, two-fold dilute the recombinant Mu GAL7 with 0.9% sodium chloride injection, add 50μL a serial dilution of GAL7 to each well of a U or V-bottom shaped 96-well microtiter plate. The final well serves as a negative control with no GAL7, replace with 50μL 0.9% sodium chloride injection. Then add 50μL 1% rabbit erythrocyte to each well and mixed gently. The plate is incubated for 3 hours at room temperature. The results are shown. It was obvious that the minimal effective concentration of GAL7 is 3.125 μg/mL. | 
| Molecular Mass : | 18.9kDa | 
| Endotoxin : | <1.0EU per 1μg (determined by the LAL method). | 
| Purity : | > 97% as determined by SDS-PAGE. | 
| Storage : | Avoid repeated freeze/thaw cycles. Store at -20°C for 12 months. Aliquot and store at -80°C for 12 months. | 
| Reconstitution : | Reconstitute in 10mM PBS (pH7.4) to a concentration of 0.1-1.0 mg/mL. Do not vortex. | 
| Gene Name | Lgals7 lectin, galactose binding, soluble 7 [ Mus musculus ] | 
| Official Symbol | Lgals7 | 
| Synonyms | LGALS7; lectin, galactose binding, soluble 7; galectin-7; gal-7; Pig1; Galectin-7; MGC151215; MGC151217; | 
| Gene ID | 16858 | 
| mRNA Refseq | NM_008496 | 
| Protein Refseq | NP_032522 | 
| ◆ Recombinant Proteins | ||
| Lgals7-7191M | Recombinant Mouse Lectin, Galactose Binding, Soluble 7, His-tagged | +Inquiry | 
| LGALS7-193H | Active Recombinant Human LGALS7 Protein (Ser2-Phe136), N-His tagged, Animal-free, Carrier-free | +Inquiry | 
| Lgals7-7263M | Recombinant Mouse Lgals7 Protein, His-tagged | +Inquiry | 
| LGALS7-3623H | Recombinant Human LGALS7 | +Inquiry | 
| LGALS7-444H | Active Recombinant Human LGALS7 protein(Ser2-Phe136), GST-tagged | +Inquiry | 
Not For Human Consumption!
Inquiry
- Reviews (0)
- Q&As (0)
Ask a Question for All Lgals7 Products
Required fields are marked with *
My Review for All Lgals7 Products
Required fields are marked with *
 
  
        
    
       
                         
                             
            