Recombinant Human Interleukin-12
| Cat.No. : | IL12-21H |
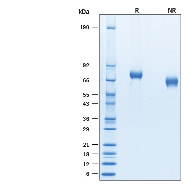
| Product Overview : | Recombinant human interleukin 12 is a heterodimeric cytokine composed of covalently disulfide linked a light chain of p35 (P35, IL-12α) and a heavy chain of p40 (P40, IL-12β) with PI 4.5-5.5. Specifically, the heavy chain (P40) is consisted of 306 amino acids, while the light chain (P35) compounds 197 amino acids. It is approximately 75 kDa, containing 503 amino acids, non-glycosylated. |
- Specification
- Gene Information
- Related Products
- Download
| Species : | Human |
| Source : | E.coli |
| Tag : | Non |
| Description : | Inerleukin-12 (IL-12), as a potent factor, plays an important role in the networks of immune system. It is a multifunctional cytokine, the properties of which bridge innate and adaptive immunity, acting as a key regulator of cell-mediated immune responses through the induction of T helper 1differentiation. By promoting IFN-γ production, proliferation, and cytolytic activity of natural killer and T cells, IL-12 induces cellular immunity. IL-12 not only can facilitate the maturation of antigen presenting cells (APC), especially for dendritic cells (DC), but also can be the third signal to change properties of CD8 T cells and increase generation of effector and memory cells. Treatment with IL-12 can inhibit bacterial, virus and intracellular parasites, produce an effect of anti-tumor, and enhance autoimmunity. |
| Purity : | Greater than 98% by SDS-PAGE gel and HPLC analyses. |
| Specification : | 10μg/bottle. Any other specifications, please feel free to contact us. |
| Formulation : | Sterile filtered through 0.2 micron filter, added the human serum albumin and mannitol and then lyophilized from 10mMPBS, pH=7.2. |
| Specific Activity : | the ED50was determined by the stimulation of IFN-γ production by human peripheral blood mononuclear cells co-stimulated with IL-12 is ≤ 5ng/ml, corresponding to a specific activity of ≥ 8000 units/μg. |
| Endotoxin : | Endotoxin level is less than 1 EU/μg. |
| Reconstitution : | Centrifuge the vial prior to opening. Reconstitute in water to a concentration of 1ml. This solution can then be diluted into other aqueous buffers and stored at 4°C for 1 day or -20°C for future use. |
| Storage : | The lyophilized is stable for 3 months at room temperature, can be stored for 2 years at 4°C , but best stored at -20°C . Reconstituted IL-12 should be stored in working aliquots at -20°C . |
| Publications : |
Cytokine and reactivity profiles in SLE patients following anti-CD19 CART therapy (2023)
|
| Gene Name | IL12A |
| Synonyms | interleukin |
| mRNA Refseq | NM_000882 |
| Protein Refseq | NP_000873 |
| MIM | 161560 |
| UniProt ID | P29459 |
| Chromosome Location | 3q25.33-q26 |
| Gene ID | 3593 |
| Pathway | Cytokine-cytokine receptor interaction; Jak-STAT signaling pathway; Toll-like receptor signaling pathway; Type I diabetes mellitus. |
| Function | Contributes to cytokine activity; interleukin-12 beta subunit binding; interleukin-12 receptor binding; interleukin-27 binding; protein binding; protein heterodimerization activity. |
| ◆ Recombinant Proteins | ||
| IL12A-315H | Recombinant Human IL12A protein(Met1-Ser219), His-tagged | +Inquiry |
| Il12a-211M | Recombinant Murine Interleukin 12a, P35-P40 | +Inquiry |
| IL12A-165H | Rcombinant Human IL12A, His-Fc-tagged | +Inquiry |
| IL12-21H | Recombinant Human Interleukin-12 | +Inquiry |
| IL12A-27H | Active Recombinant Human IL12A/IL12B protein | +Inquiry |
| ◆ Cell & Tissue Lysates | ||
| IL12A-001CCL | Recombinant Cynomolgus IL12A cell lysate | +Inquiry |
| IL12A-2435HCL | Recombinant Human IL12A cell lysate | +Inquiry |
Not For Human Consumption!
Inquiry
- Reviews (0)
- Q&As (0)
Ask a Question for All IL12A Products
Required fields are marked with *
My Review for All IL12A Products
Required fields are marked with *
